
骨肿瘤科:破解行业难题 再造人工髋臼
2015-10-13
半年前,54岁的市民全女士感觉身体左侧髋关节有点不舒服,时常隐隐作疼。当时她也没当回事儿。几天前,疼痛感明显加强,自己走路都成问题,无奈之下坐上了轮椅。这时,她想起了曾经帮过自己的骨肿瘤科的邹本国主任,赶忙请他瞧瞧这是怎么了。
因为信任 勇担行业难题
十多年前,全女士的左股骨近端出现了纤维结构不良。邹本国主任为她做了肿瘤切除左髋关节置换手术。多年过去了,拍片显示,全女士的关节假体位置稳定、功能良好。“此前,我们也上网查过,国产髋关节假体能用这么久,而且功能还这么好的,实在是不多见。我们非常信任邹主任!所以这次还想请邹主任给看病。”全女士的家人信心满满地告诉记者。
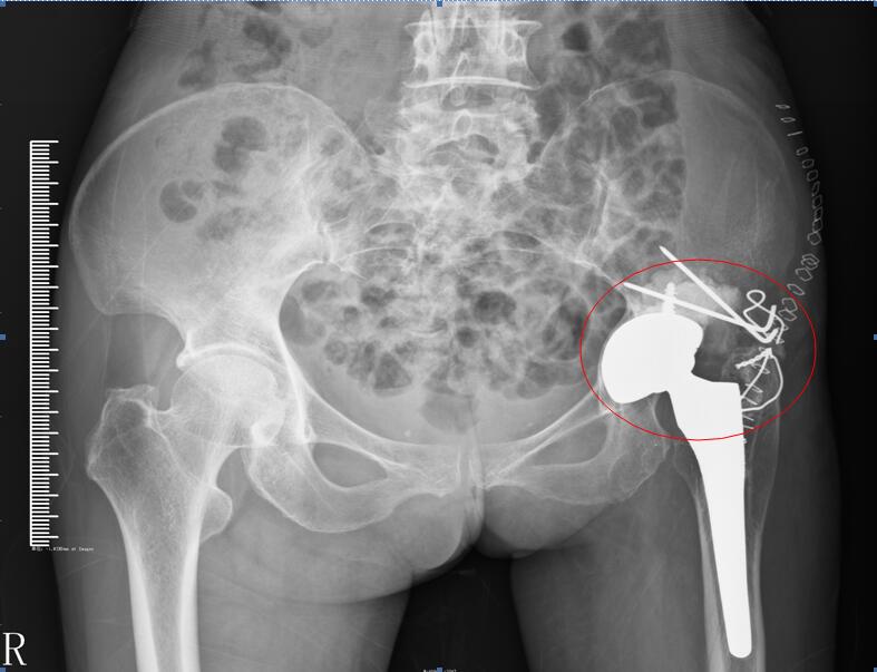
然而,全女士本次患病要比上次复杂的多。经诊断,她的左侧盆骨髋臼顶端已出现了大面积的骨质破坏,病变位于骨盆Ⅱ区,邹本国主任告诉记者,“这里是人体最重要的负重区,下肢行走的压力全部由股骨头传递到髋臼,髋臼肿瘤骨质破坏后,若不加干预,则肿瘤会逐渐增大,骨质破坏逐渐加重,随之而来的就是髋臼病理骨折,到时病人关节功能会丧失,甚至无法行走,手术难度相当大。”“骨盆Ⅱ区的手术,目前仍是世界性难题,每次开学术性会议时都会讨论这个问题,但一直没有一个合理的解决方案。很多专家遇到这样的手术都会摇头,既然患者信任我们,再难做我们也要想办法!”
心系患者 尝试“重建性手术”
邹本国主任有着30多年的骨肿瘤治疗经验,是青烟威地区唯一一个山东省骨肿瘤学组委员,说起髋臼位置的肿瘤发病率,他表示不常见。“在人群中的发病率不过百万分之一,在咱们烟台每年顶多有五六例,每年开展的手术也就是四五台。”
治疗这类疾病,以前大多是“破坏性手术”,“半骨盆截肢术或盆骨旷置术,这两种手术虽然相对简单,但会给患者带来极大的痛苦。采用第一种手术方法的话,患者的腿就保不住了,给其身体和心理都会造成极大伤害;若采用第二种手术方法,虽然能保住双腿,但腿部的主要功能会全部丧失,只能看不能用。”本着对患者负责的态度,邹主任和他的医疗团队决定尝试一种新的“重建性手术”,在做到保肢的同时,能让患者尽快“幸福走起来”。
再造髋臼 首开省内先河
“万事开头难”,类似的手术鲜有先例。邹本国主任和他的医疗团队便开始查阅大量文献资料,并向国内一线专家请教。最终确定为全女士开展“骨盆肿瘤扩大切除+钢针骨水泥技术再造髋臼术”。韩键主治医师首先在CT下为病人髋臼肿瘤位置做了精准穿刺活检,为手术打下良好的基础。此后,医疗团队对患者的肿瘤部位进行了扩大切除,切掉大部分髋臼,而这个部位又是身体负重最大的一个部分。对此,他们又用骨水泥给患者再造了一个人工髋臼,为了保障它的稳定性,还用钢针对其进行固定。术后拍片显示,关节假体以及再造髋臼位置良好,两者结合牢固。没过几天,全女士就能借助拐棍下床行走。邹主任说:“再过三个月,患者就能扔掉拐棍,像正常人一样行走了。这样的手术,在省内尚属首例。手术不但减轻了患者身体上的痛苦和心理负担,更重要的是给她树立了生活的信心。它给予我们一个很好的启示,今后再有类似的病症我们就能更好地科学应对。”
(图中标注为手术开展部位)
/mobile/article/view?id=1828