首页 > 医院新闻医院新闻
我院肿瘤治疗又添新技术
2016-12-26
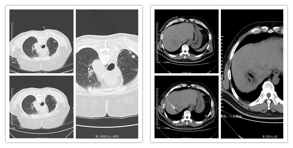
    12月21日正值冬至节气,我院肿瘤内一科正如火如荼的为即将开展的肿瘤微波消融治疗做最后准备。当晚17:00—21:30在全科医护人员的共同努力下,我科完成了包括肺脏、肝脏病变共6例肿瘤患者的病灶微波消融治疗,手术顺利,术后患者未出现明显不适。



    对于新技术的开展,全科上下高度重视。由张恩宁副院长亲自督导,组建了肿瘤微波消融治疗小组。肿瘤内一科周冬梅主任担任小组组长,付爱芹副主任医师、仲昭坤副主任医师担任副组长,组员包括宋尧波、王萍、丛振杰。小组骨干成员均持有肿瘤微波消融治疗证书。宋尧波主治医师已从省立医院进修微波消融技术回科,王萍主治医师目前正在省立医院进修。为保障首次微波消融手术的顺利开展,特邀权威专家、国内最早开展微波消融治疗的山东省立医院叶欣教授亲临指导。  

    此次项目的顺利开展,也离不开兄弟科室的大力支持。目前我科已具备开展肿瘤微波消融治疗的能力,推动了我院肿瘤微创治疗技术的发展,将为更多的肿瘤患者带来福音。



    链接:肿瘤微波消融技术是继我科已开展的肿瘤氩氦刀冷冻治疗、碘125放射性粒子植入技术后的另一种新的肿瘤微创治疗技术。微波消融就是将微波针经皮穿刺到肿瘤内,通过针尖区域释放的微波磁场使肿瘤周围的分子高速旋转并摩擦产热升温,从而使肿瘤组织凝固、脱水坏死,达到治疗肿瘤的目的。一次治疗的时间仅为几分钟,具有定位精准、不开刀、痛苦小、手术时间短、费用低、恢复快、安全性高和疗效确切等优点,是肿瘤综合治疗不可缺少的最佳手段之一。尤其是针对早期不愿手术、手术不能完全切除或切除风险较大的病人、心肺肝功能差等原因不宜手术的病人、转移癌灶多需减瘤、减症的病人等具有良好的适应症。目前广泛应用于肺脏、肝脏、肾脏、肾上腺等实质脏器的原发、转移病灶的治疗。


                                                     [肿瘤内一科]
医院公告
/mobile/article/view?id=2114