首页 > 医院新闻医院新闻
肿瘤内一科成功开展微波消融技术
2017-01-25
    日前,烟台山医院肿瘤内一科团队开展了肿瘤微波消融技术,为5位乳腺癌肝转移、大肠癌肺转移、原发肺癌患者成功实施了微创手术,这是继2016年12月21日肿瘤内一科开展CT引导下肿瘤微波消融术以来又一肿瘤微创的创新举措。

    肿瘤微波消融技术是继肿瘤内科已开展的肿瘤氩氦刀冷冻治疗、碘125放射性粒子植入技术后的另一种新的肿瘤微创治疗技术。微波消融就是将微波针经皮穿刺到肿瘤内,通过针尖区域释放的微波磁场使肿瘤周围的分子高速旋转并摩擦产热升温,从而使肿瘤组织凝固、脱水坏死,达到治疗肿瘤的目的。具有定位精准、不开刀、痛苦小、手术时间短、费用低、恢复快、安全性高和疗效确切等优点,是肿瘤综合治疗不可缺少的最佳手段之一。尤其是针对早期不愿手术、手术不能完全切除或切除风险较大的病人、心肺肝功能差等原因不宜手术的病人、转移癌灶多需减瘤、减症的病人等具有良好的适应症。目前广泛应用于肺脏、肝脏、肾脏、肾上腺等实质脏器的原发、转移病灶的治疗。

    微波消融术平均手术时间仅为几分钟,术中采用局部麻醉,患者清醒状态,无任何不适。术后患者恢复快,平均2-3日便可出院,其中我科首例肺癌肺内转移患者,术后24小时内便出院,恢复良好,无任何不适。
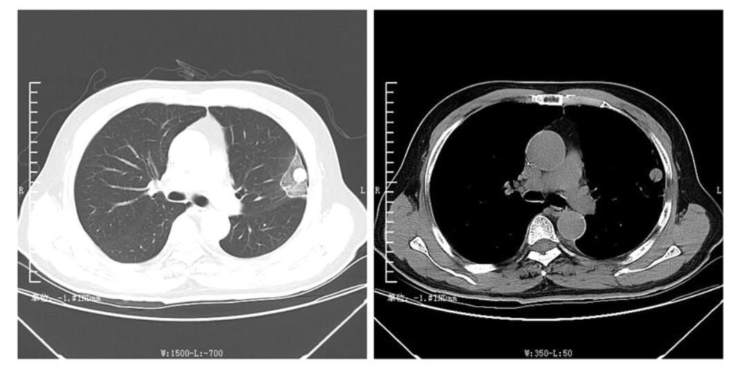
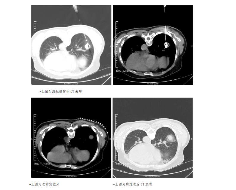
接下来让我们看一下患者的术中CT:



    首次手术患者15天后复查的CT:肺内转移结节已被消融范围全面包裹,理论上包裹范围内肿瘤将全面失活(如下图)。  



    希望2017年微波消融术能给更多的肿瘤患者带来福音,减轻肿瘤负荷,提高生活质量,为我院肿瘤微创治疗添砖加瓦。

                                             [肿瘤内一科]
                  
医院公告
/mobile/article/view?id=2141