首页 > 医院新闻医院新闻
胸骨后甲状腺肿瘤莫轻视 尽早切除别耽误
2017-11-10
    烟台一七旬老人近日被确诊为胸骨后甲状腺肿瘤,烟台山医院甲状腺外科采用低领切除术为患者切除了肿瘤,避免了开胸手术的风险。烟台山医院甲状腺外科主任王传强提醒大家,“当出现了胸闷憋气的症状,在排除呼吸系统疾病的情况下,可以做一下甲状腺检查,判断一下是否存在着胸骨后甲状腺肿瘤压迫气管或食管,进而出现喘憋、吞咽困难等症状。”

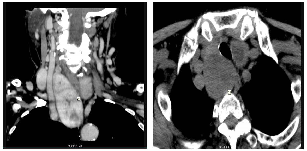
    年过7旬的烟台市民老于半年前就出现了胸闷憋气的症状,吞咽也有所不适。近期,他到烟台山医院就诊,在接受彩超检查时发现:他的左侧甲状腺结节为5*4cm,右侧甲状腺结节深入胸骨后,为8*10cm。甲状腺外科诊断老于患上了胸骨后甲状腺肿瘤。近日,他在烟台山医院接受了低领切除术,肿瘤成功切除。现已痊愈出院。



    胸骨后甲状腺肿瘤通常是由颈部甲状腺肿瘤向胸骨后突入生长而形成。由于胸骨后组织疏松,甲状腺下极增大或出现病变时,很容易进人胸骨后。生长至一定体积时可压迫气管甚至食管,引起呼吸或吞咽困难。
王传强主任表示,“胸骨后甲状腺胸骨后甲状腺肿瘤因其与纵隔关系密切,主动脉、头臂动脉、上腔静脉、左右头臂静脉、迷走神经等重要器官分布其中,给外科治疗造成较大的困难。因此,发现胸骨后甲状腺肿瘤后应尽早切除,以免造成不必要的生活干扰及手术风险。”

    据悉,该病虽然进展缓慢,但极易出现压迫症状,且可继发甲状腺功能亢进、恶变,因此,一旦确诊应尽早行手术治疗。过去,此类手术是经胸或劈开胸骨进行。近年来,较多临床研究发现,该病以坠入型多见,多数可经颈部低领切口完成;手术困难者可将切口下延,劈开部分胸骨进行。烟台山医院院甲状腺外科对于胸骨后甲状腺手术治疗具有丰富的经验,每年完成数十例低领切口胸骨甲状腺肿物切除术,为患者带来了最佳治疗效果。


                                               [甲状腺外科 赵万忠]
医院公告
/mobile/article/view?id=2407