首页 > 医院新闻医院新闻
“CT界的阿尔法狗”在烟台山医院“上班”,人工智能筛查肺结节更快、更准
2018-01-29
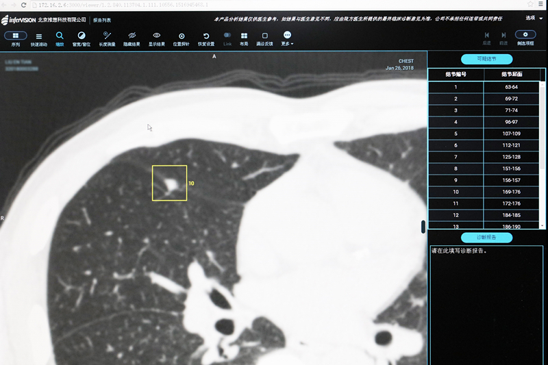
    阿尔法狗有多“聪明”,想必大家都知道。近日,烟台山医院在肺结节CT筛查时就用上了人工智能技术,“CT界的阿尔法狗”在烟台山医院CTMR室“上岗”,它是最智能的“CT室医生”,它可以在5秒之内读完患者的胸部CT片,并能将可疑部位进行自动标注,它对肺结节的发现辨识率高达90%,医生读片的结果也可以请它进行进一步核实。它与CT室医生携手作战让肺结节筛查更加高效、精准。



    在我国,肺癌是发病率、死亡率最高的恶性肿瘤,在所有的恶性肿瘤当中,肺癌患者的5年生存率也是最低的,仅为17%,很多患者发现罹患肺癌时已是晚期,因此,肺癌的早发现、早治疗就显得尤为重要。要想早期发现肺癌可以进行肺结节筛查,2016年1月,中国肺癌防治联盟烟台山医院肺结节筛查中心成立,截止到2017年12月,医院共开展肺结节CT筛查3万多例,发现高危肺结节和早期肺癌结节1200多例,接受胸腔镜下肺结节手术的患者达1000多人,为肺癌的早期筛查和早期治疗赢得了最佳时间。

    要想筛查肺结节得靠CT检查。烟台山医院CTMR室主任张国伟表示,“以往,CT室医生要对病灶的位置、形态、密度等因素进行反复阅读,有时会看上三四遍,一般而言,耗时约为5到15分钟。如果有拿不准的还需要和其他医生一起阅读,以确保检查结果的准确性。”



    现在,“CT界的阿尔法狗”“上岗”,让肺结节筛查可以更快、更准。它的名字是“人工智能肺结节筛查系统”,英文名字为“AI-CT Chest”,它是“人工智能+医疗”界的翘楚,在烟台山医院“上岗”前,它已学习过40多万例专业医师标记的胸片和胸部CT阅片信息,并深深地印在自己的“脑海”里。在阅片经验方面,可以称得上是“老司机”,在阅片时,它可以模拟人的思维,阅完一个肺结节筛查胸部CT片,只需要5秒钟,并能标注出可疑结节的位置,以供CT室医生进行进一步核实。“此外,我们医生阅读完的片子,也可以请它进行进一步验证,以降低肺结节的误诊率和漏诊率。”张国伟表示,“CT界的阿尔法狗”不仅是一个工具,更是CT室医生的亲密“战友”,他们携手作战,让肺结节筛查更加高效、精准,有助于肺癌的早发现、早治疗,进而能更好地服务患者。


                                            [宣传科 CTMR室 赵新尧]
医院公告
/mobile/article/view?id=2464