
根据医院发展需要和信息化建设发展规划,锐珂图片归档及通讯系统(PACS)和放射成像信息系统(RIS)经过反复论证、调试后日前在我院上线。系统解决了从登记、图像存储到图像诊断、信息统计等各环节的资源配置问题。

系统有效提升了工作效率,患者就诊更加便捷。系统可以自动按检查尾号分发报告给医师,秒开图像。新系统优化了登记环节,提高了登记效率,可同时识别门诊号、住院号、健康卡、身份证等有效信息,并可完善患者其它信息。磁共振预约则采用先进的分段预约方式,更加科学合理。每位患者会产生一个条形码,医院上线自助取片机后患者可以在自助机上自行取片、取报告。报告书写医生不再人工分配工作,而是由系统自动分发;打开1000幅图像的病例,只需2秒钟。同时,该患者的所有影像学检查和图像同步显示,自动调出同一解剖层面的图像进行对比显示。
系统还有助于科室规范化管理,提升教学科研水平。新系统不仅拥有良好的稳定性,而且可以依照本科室要求完成质控、病例随访、会诊、危急值、传染病等重要工作,并记录于PACS系统中,有助于科室按三甲要求进行规范管理。同时新系统教学、测量、对比、查询和统计功能更方便,能够满足教学和科研方面的需求。
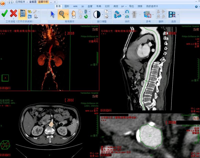
系统强大的图像处理功能为诊断医师和临床医师提供更详尽的诊断信息。作为医疗影像领域的佼佼者,锐珂PACS和RIS系统是锐珂医疗公司应用在医院信息化建设推广中功能最强大、具有革命性的产品,除加强实时3D功能和更多的交互MPR功能外,还有自动血管分析和最大/最小密度投影等功能,并可以设置为快捷键,一键转换。诊断医师在书写报告的过程中可以实时对各种图像以“关键图像”保存并提供给临床医生查看,为临床提供更多详尽的信息,为患者提供更加优质的服务。