
前段时间,烟台的周老汉自称遇到了“鬼打墙”,出门后,他一直围着小区转圈,就是找不到回家的路。后来,他在烟台山医院接受了检查治疗,证实其并没有遇到“鬼打墙”,而是枕叶脑出血,影响到了他的视觉,所以才有了“鬼打墙”的情况。
半个月前的一个下午,周老汉来到了烟台山医院神经外科,他告诉医生,“平日里我的神志很清醒。今天白天遇到了‘鬼打墙’,出门后,找不到回家的路,一直围着小区转。我本想找外地的一位‘大仙’看看,现在时间有些晚,就先到医院治疗一下。”
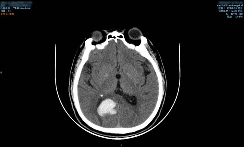
烟台山医院神经外科主任刘建辉在为患者检查时判断,患者虽然手脚灵活、没有偏瘫、吐词清楚、问答正确、没有面瘫,但仍有可能是脑出血,他建议周老汉做一个颅脑CT检查。周老汉在家人的陪同下接受了CT检查,检查结果显示:患者枕叶脑出血。刘建辉主任分析说,“枕叶是管理人视觉的大脑区域,这一部位出血,影响到了患者的视觉,所以他才有了‘鬼打墙’的幻视。”

颅脑CT显示:患者枕叶脑出血
此后,周老汉在烟台山医院接受了治疗,他的病情日渐好转,辨认方位的能力得以恢复,再也没有遇到过“鬼打墙”,他也于昨日康复出院。他自称,“推倒‘鬼打墙’的不是穿黄大褂的‘大仙’,而是穿白大褂的医生。”
刘建辉主任表示,并非所有的脑出血都表现为半身不遂或口角歪斜。大脑是人体所有功能活动的“司令部”,我们的思考、心理、精神、认知、判断、运动等都由大脑控制着,所以,脑出血后患者可能出现各种各样的症状。刘建辉主任建议:当有人,尤其是老年人突然出现丰富逼真的幻视时,很有可能是患上了脑血管疾病,应及时到医院就诊。