
前段时间,患者王先生无意中发现颈部有一无痛性肿物,经多方打听来到烟台山医院就诊。

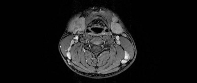
耳鼻咽喉科张月琴主任和吕超副主任医师接诊后仔细询问病史得知患者发现颈部肿物仅仅一周时间,无炎症反应,无食欲及体重的改变。查体可于颈部双侧颌下区及II、III、IV、V区触及多个肿物,质硬,活动度良好,无压痛。经过详细评估后为患者开具了颈部磁共振检查,磁共振示颈部多发淋巴结,增强扫描后可见明显强化。

至此,接诊医师根据目前的各种临床、影像诊断,初步怀疑王先生患有淋巴瘤,并向患者及家属说明病情及下一步治疗方案,建议其手术切取一个完整的肿物送病理检验明确性质。经患者及家属同意后,耳鼻咽喉科医师为王先生行全身麻醉下手术治疗,取颌下区横行切口,于右侧颌下腺表面触及大小约3*4cm肿物,与面动脉及面神经下颌缘支关系密切,经过仔细解剖后将该肿物连其包膜完整切除。术后病理示T淋巴母细胞淋巴瘤,联系血液科后转入血液科行专科治疗。
据悉,淋巴瘤是起源于淋巴结或结外其他淋巴组织的恶性肿瘤,可发生于全身任何部位,是我国最常见的十大肿瘤之一。头颈部有丰富的淋巴组织,是淋巴瘤好发部位,有研究表明近1/3结外淋巴瘤发生于头颈部。淋巴瘤发生在头颈部多表现为淋巴结肿大,随后迅速增大固定并相互融合,初期易与颈部良性肿瘤、淋巴结炎、结核等相混淆,而淋巴结相互融合后易误诊为转移癌。
烟台山医院耳鼻咽喉科专家提醒大家,由于头颈部淋巴瘤从影像学及临床表现看无明显特征,故早期易漏诊误诊,患者如发现颈部出现无痛性肿物,或长期发热、盗汗,请尽早就医,及时治疗。