
脑血管疾病,尤其是脑卒中的发病率近年来呈明显上升趋势。脑卒中致残致死率较高,严重威胁到患者的生命安全。如何早期发现脑卒中的蛛丝马迹,并有效阻止脑卒中的发展,是近年来的学术研究热点。
为了解决这个难题,我院CT.MR室新引进了颈血管高分辨MR专用线圈,在常规颅颈血管MR检查的基础上,开展了颈动脉血管壁高分辨MR成像分析,该技术可以更加清晰地显示颈部血管斑块的特征,进而判断颈血管斑块是否为易损斑块,近期发生脑卒中的概率有多大,使临床医生能够更早、更准确地做出治疗方案,避免脑卒中的发生。
众所周知,颈血管动脉粥样硬化(AS)病变的基础为脂质代谢障碍,病变由内膜开始,动脉内膜损伤、血管壁纤维增生形成斑块,且随着斑块增加血管逐渐硬化、狭窄,血栓形成,从而引发严重后果。而磁共振对上述变化较为敏感,能够对易损斑块、斑块内脂质、新鲜和陈旧性出血、血管壁纤维增生、活动性炎症、颈动脉夹层等方面作出准确判断,进而预测脑卒中发生的可能性。

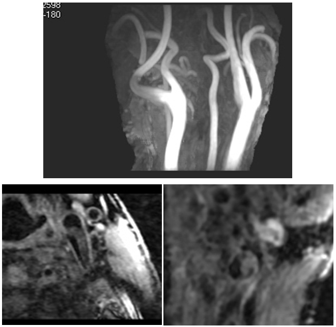
高分辨MR扫描所示图中患者左颈内动脉起始段走形迂曲,左侧壁见条状偏心斑块,斑块表面不规整,内未见出血信号,增强扫描斑块不均匀强化。提示为易损斑块,建议临床进一步对症治疗
CT.MR室主任张国伟表示,颈动脉血管壁高分辨MR成像检查具有较高的软组织分辨率、无创、可重复检查的优点,是识别颈动脉血管壁形态和量化颈动脉斑块成分的新技术,是一种最新的影像学检查方法,有助于指导临床医生实现精确诊断、精致医疗的目的。