
前段时间,1岁零9个月的童童(化名)在玩耍时误将1枚1元硬币吞入腹中。家长本以为硬币会随着大便排出,但20天过去了,迟迟未能排出,情急之下,带着童童来到烟台山医院儿科就诊。医护人员通过儿童无痛电子胃镜及时将硬币取出,这才得以化险为夷。

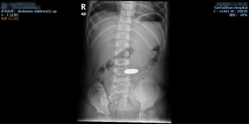
童童误吞硬币当日,家长带着他到当地医院就诊,透视检查发现,腹部偏右位置可以看到一个类圆形致密影,应为吞下的1元硬币,当地医院没有儿童电子胃镜,医生建议饮食促排。3天过去了,这枚硬币仍未排出,童童再到医院接受腹部透视检查,金属影的位置移到了中腹部。又过了5天,硬币还是没有排出,家长带着童童到当地的另外一家医院就诊,复查X线片,提示硬币仍在中腹部。再过了12天,硬币依旧没有排出,情急之下,家长带着童童来到了烟台山医院儿科就诊,复查X线片,提示硬币的位置在中下腹。

硬币到底是在胃里还是在肠道里?如果在胃里,为何位置偏低?如果已经进入肠道,为何持续20天都不能排出?烟台山医院儿科对此进行了全科讨论,认为异物在消化道内停留时间较长而未能自行排出,硬币还在胃里的可能性较大。在征得家长同意后,决定为童童做儿童无痛电子胃镜检查。
昨天早上,在完善了术前检查后,医生开始为童童做胃镜检查。没过多久,医生就通过胃镜在显示器上看到了这枚留在腹中20天的硬币,并及时将它取出。由于滞留时间较久,这枚硬受到胃酸腐蚀后已经变黑。

从童童胃里取出的1元硬币
孩子在成长过程中,会对周围的一切事物产生好奇,并愿意用手和嘴去探索世界,在这过程中有可能误吞异物,吞下的异物会进入气道或消化道。
2017年11月,烟台山医院在烟威地区率先成立儿童胃镜室,引进先进的奥林巴斯GIF-XP290N型电子胃镜,其镜身直径仅5.5mm,较成人胃镜更加纤细。截止到目前,共完成儿童电子胃镜检查120多例,安全、舒适、及时地为儿童取出硬币、游戏币、塑料片、耳坠、纽扣电池、图钉帽、钥匙环、围棋子、纽扣等异物。

儿童无痛电子胃镜下取出的各种异物
如何预防孩子误吞或误吸异物?烟台山医院儿科专家从以下几个方面作出提醒:
1.孩子玩具的选择:尽量不要给孩子玩体量比较小的玩具。另外在购买时也要查看一下玩具是否能够拆卸,容易拆卸和脱落的零件也有可能会导致孩子误吞。
2.药物不能随便放:家长要把一些药物品放置于孩子接触不到的地方,不然会让一些好奇的宝宝误吞。
3.避免容易误吞的食物:如果宝宝吃了果冻及干果类的食品可能会造成窒息,所以家长尽量不要给3岁以内的孩子吃此类的食物。大年龄段的孩子进食干果类食物时,也应避免说笑,以防误吞入消化道或误吸入气道。
4.管理收纳好生活小用品:收纳好一些容易引起孩子误吞的用品,比如螺丝螺母、电池、钉子、针、纽扣、干燥剂等,把这小物品都收纳在一个柜子里面,不能让孩子触及。
此外,当家长发现孩子误吞异物时,应及时及时带孩子来医院就诊,不建议刺激呕吐,以防造成二次伤害,尤其是吞入尖锐异物时。