
提起脑出血,人们通常会认为是一种老年病。事实上,由于工作压力大、生活不规律和防病治病意识欠缺等原因,近年来中青年人脑出血的病例明显增多。日前,烟台山医院急诊科收治一位突发脑出血的中年女性患者,经实施一系列抢救措施并行软通道血肿穿刺碎吸术,成功救治该患者。
据了解,该中年患者有高血压疾病,但未给予足够重视,服药不及时,适逢气温升高、情绪波动等原因导致急性起病,突发意识不清,入抢救室时口吐白沫、深昏迷、双瞳孔散大固定、呼吸不规律、心率减慢,情况非常危急。千钧一发之际,烟台山医院急诊科杨海燕主任带领急诊重症监护病房团队立即启动抢救模式:气管插管、呼吸机通气、完善CT检查,颅脑CT提示左侧基底节脑出血(约60ml)并破入脑室、脑疝形成。
脑出血治疗的关键是尽早地清除血肿,急诊重症监护病房副主任、神经外科专家潘继明立即与患者家属谈话,征得家属同意后,在急诊重症监护病房床边给予头部备皮,半小时即完成血肿穿刺碎吸术。术后第二日,患者瞳孔回缩,复查CT显示血肿明显减少,继续给予冰毯控温、脑保护等综合治疗,术后第五日即转入普通病房,继续康复治疗。

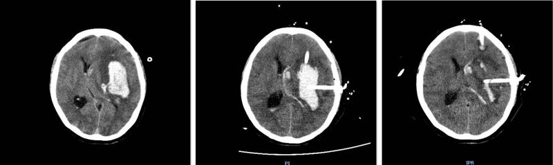
软通道血肿穿刺碎吸术(术前) 软通道血肿穿刺碎吸术(术中) 软通道血肿穿刺碎吸术(术后)
当前,软通道血肿穿刺碎吸术已成为脑出血手术治疗的重要手段之一,具有创伤小、闭性强、不易感染、恢复快、费用低廉等优点。目前我院急诊科引进方体定向技术,准确定位,可明显缩短手术时间及平均住院时间,改善病人生存质量及预后,是快速、安全、有效的脑出血手术方法。
即将入夏,烟台山医院专家提醒广大市民,由于夏季气温较高,人们出汗增多、血液变稠、血流阻力加大和心率加快,会造成对脑部小动脉壁的压力增大;此外,燥热的外界环境也易引起人们情绪不稳、烦躁不安,若遭遇情绪激动,饮食、烟酒或体力活动稍有过度或不当,容易并发脑出血。因此,在夏季应特别注意脑出血的预防,有高血压疾病的中青年人亦不可掉以轻心,应做到以下几个方面以降低脑出血发病率:1、适当调整药物、坚持服药降压。2、注意心理卫生、保持心态平衡。3、注意生活规律、学会劳逸结合。4、注意饮食安全、改变不良习惯。5、注意防暑降温、警惕发病预兆。