
受疫情影响,很多人长期“宅”在家里,很少出门锻炼,再加之高血压、高血糖、高血脂等危险因素控制得不好,就医频率也有所降低,这就导致了部分老年人突发急性心肌梗死。近一周的时间内烟台山医院南院内二科就接诊了3位这样的心梗患者。

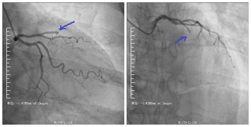
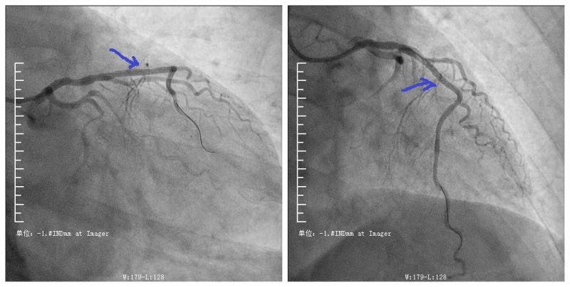
上图所示为堵塞的冠状动脉

上图所示为开通后的血管
今年63岁的芝罘区居民老李,平日里自觉身体良好。前两天的一个下午他突然感到胸口闷痛,时好时坏,当时他也没当回事。第二天再次出现胸闷、胸痛等症状,疼痛的程度比昨日明显加重,他随即赶往烟台山医院南院区就诊。在这里,老李接受了心电图检查,医生考虑诊断为“冠心病 急性心肌梗死”。医生通过急诊手术为老李开通闭塞的心血管,老李转危为安,此前胸闷、胸痛的症状也随之消失。
急性心肌梗死是冠心病的一个类型,是由于给心脏供血的冠状动脉急性堵塞所致。如果把人体比作一辆车,心脏是“发动机”,那么心脏的冠状动脉就是“发动机”的“供油管”,若“供油管”堵塞,“发动机”就会运行不畅。
急性心肌梗死多表现为突然出现胸闷、胸痛等症状,并可以向上肢、颈部、下颌部等其他部位放射。如果不及时就医处理,死亡率极高。急性心肌梗死的发生与吸烟、高脂血症、高血压、糖尿病等有着密切关系。
据悉,疫情防控期间,很多人出门少、运动少,再加之血压、血糖、血脂控制得不好,就医频率低,在一定程度上导致了心肌梗死发生率有所上升。

烟台山医院是第一批通过中国胸痛中心认证的医院,同时也通过了美国胸痛中心的认证,长期致力于急性心肌梗死的急诊急救工作。烟台山医院南院内二科为心脑血管病科,在急性心肌梗死药物溶栓治疗及急诊微创手术开通冠状动脉等方面,具有丰富的救治经验。烟台山医院南院内二科专家提醒大家,疫情期间,更需关注心脏健康,如出现胸闷、胸痛等心脏不适症状一定要及时就医。