
孩子在成长过程中,总喜欢用手和口探索未知世界,有时一不小心就会将异物吞入气道或食道,带来危险。
前几天,1岁半的馨馨(化名)将一枚圆形硬质贴画吞了下去,贴画卡在了食道内,引发局部粘膜缺血,形成糜烂、溃疡。幸亏烟台山医院通过儿童无痛电子胃镜及时将它取出,避免了引发食管穿孔的危险。

7月20日,馨馨在玩耍时突然出现恶心,她的妈妈发现馨馨的口腔内并没有异常情况,但玩具上的一枚圆形硬质贴画不见了,便估计这枚贴画很可能被馨馨吞下去了。本以为这枚贴画会在排便时排出,但2天过去了,未见其踪影。这段时间,馨馨在吃饭的时候不愿意下咽,并用手指着喉咙,示意这里不舒服。
紧接着,家长带着馨馨在当地多家医院就诊,接受了电子喉镜、气管支气管+仿真内窥镜CT、腹部立位平片检查后均未见异常。看到孩子的症状越来越重,家长便带她来到烟台山医院就诊。儿科医生建议馨馨接受儿童无痛胃镜检查,以明确是否有消化道异物,检查异物对消化道内膜有无损伤。

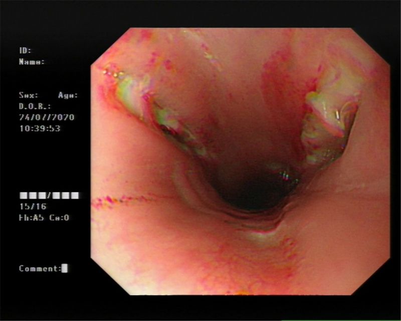
电子胃镜下可见异物嵌顿在食道内

异物取出后,原嵌顿处形成对吻溃疡
馨馨的家长接受了医生的建议。7月24日上午,儿科医生对馨馨进行儿童无痛胃镜检查,当胃镜进到食管上段时,医生看到了那枚圆形硬质贴画。贴画卡在了食道内,医生用异物钳将它小心地取出。取出后,在嵌顿处可见对吻溃疡,这是因为异物在食道内长时间压迫食道粘膜,导致局部粘膜缺血,形成了糜烂、溃疡。据悉,此处可能形成瘢痕,也可能引起食管狭窄,后期或可导致患儿吞咽困难。如果患儿再迟些就诊有可能导致食管穿孔,严重时可危及生命。

取出的异物——圆形硬质塑料贴画
2017年11月,烟台山医院在烟威地区率先成立儿童胃镜室,引进先进的奥林巴斯GIF-XP290N型电子胃镜,其镜身直径仅5.5mm,较成人胃镜更加纤细。截止到目前,已完成胃镜检查近200例,其中消化道异物取出术50余例,安全、舒适、及时地为儿童取出硬币、游戏币、塑料片、纽扣电池等多种异物。

儿童无痛电子胃镜下取出的各种异物
如何预防孩子误吞或误吸异物?烟台山医院儿科专家从以下几个方面作出提醒:
1.孩子玩具的选择:尽量不要给孩子玩体量比较小的玩具。另外在购买时也要查看一下玩具是否能够拆卸,容易拆卸和脱落的零件也有可能会导致孩子误吞。
2.药物的存放:家长要把一些药物品放置于孩子接触不到的地方,不然会让一些好奇的宝宝误吞。
3.避免误吞食物:如果宝宝吃了果冻及干果类的食品可能会造成窒息,所以家长尽量不要给3岁以内的孩子吃此类的食物。大年龄段的孩子进食干果类食物时,也应避免说笑,以防误吞入消化道或误吸入气道。
4.管理收纳好生活小用品:收纳好一些容易引起孩子误吞的用品,比如螺丝螺母、电池、钉子、针、纽扣、干燥剂等,把这小物品都收纳在一个柜子里面,不能让孩子触及。
此外,当家长发现孩子误吞异物时,应及时及时带孩子来医院就诊,不建议刺激呕吐,以防造成二次伤害,尤其是吞入尖锐异物时。