
脊髓小脑性共济失调,发病率不到十万分之一。前段时间,烟台的姜女士被检查出患有这种疾病,她在烟台山医院东院全科医学科接受了专业的对症治疗,此前构音不清及双下肢无力、走路不稳和头晕的症状明显改善,取得了比较理想的治疗效果。

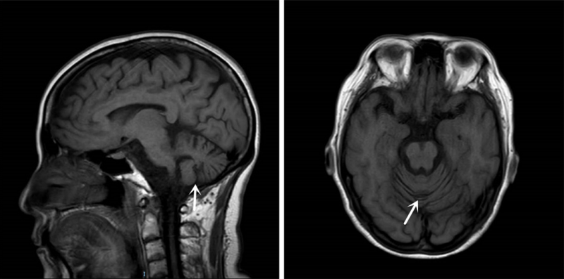
图中所示为患者萎缩的小脑
今年60岁的姜女士双下肢无力、走路不稳已有4年。最近一年又增添了头晕、说话不清的毛病,下肢无力的情况逐渐加重。前段时间,她已站立不起来,并伴有发热症状,她被紧急送往烟台山医院东院区就诊。在完善了各项检查后,东院全科医学科主任阎志慧注意到姜女士存在着低钠、低钾血症、低蛋白血症、肺部感染等情况。姜女士在东院全科医学科接受了4天的补钠、补钾、抗感染、营养支持治疗。此后,她在家人的帮助下可以下地行走,未再发热,电解质紊乱得到纠正。
然而,她仍存在走路不稳、构音不清、头晕等症状,阎主任认为她极有可能合并神经系统疾病。经过神经科查体及追问病史并结合颅脑磁共振及肌电图检查,阎主任认为姜女士患有脊髓小脑性共济失调。此后的基因序列动态突变检查也进一步印证了阎主任的判断。
经过接近2周的对症治疗,姜女士构音不清及双下肢无力、走路不稳和头晕的症状明显改善,已能够下地自行走路,并于近日出院。此后,她仍需要接受相应的药物治疗,并进行康复锻炼。
据悉,脊髓小脑性共济失调(spinocerebellar ataxia,SCA)是遗传性共济失调的主要类型,发病率不到十万分之一,包括40余种亚型,各亚型症状相似,交替重叠,极为复杂。成年期发病、常染色体显性遗传及共济失调等是本病的共同特征,并在连续数代中发病年龄提前和病情加重(遗传早现)。临床表现除小脑性共济失调外,可伴有眼球运动障碍、慢眼运动、视神经萎缩、视网膜色素变性、锥体束征、锥体外系征、肌萎缩、周围神经病和痴呆等。
烟台山医院东院全科医学科是集慢病管理,头晕、头痛诊疗于一体的特色科室,可为心脑血管疾病、糖尿病、高血压等慢性病患者提供全面、有针对性地诊疗管理,其病房为全市首个头晕病房。科室拥有一支经验丰富、专业过硬的医护团队,科室共设置病床16张,其中单间病床14张,另有双间套房1套、三间套房1套,病房设备配备齐全,住院环境优良。