
日前,烟台山医院东院神经外科为一位92岁高龄的小脑出血患者完成了方体定向微创脑内血肿穿刺手术,使其恢复健康。据悉,该手术具有创伤小、风险低、治疗效果好等诸多优势。

图中所示为患者入院时左侧小脑出血
前段时间,这位患者突然出现神志恍惚,并伴有呕吐,她被紧急送往烟台山医院东院区,当时她的血压高达230/120mmHg,颅脑CT提示左侧小脑出血,出血量约20ml。患者病情危重,随时都有呼吸心跳停止的可能。
东院神经外科副主任崔新国、医师吕新亭对患者的病情进行了全面评估,分析患者颅后窝出血量大,已出现意识障碍,手术指征明确,但这位患者已92岁高龄,身体状况差,即便是一次常见的呼吸道感染都有可能威胁到她的生命,难以耐受全麻下的开颅血肿清除手术。综合考虑,医生建议她接受微创脑内血肿钻孔引流术。
崔新国、吕新亭共同为这位患者手术。在局麻下,医生在患者左侧后枕部头皮切开约5mm的切口,沿术前精确定位的穿刺点准确地在血肿腔内植入引流管1根,术中抽出血肿12ml,手术很快顺利完成。术后在东院神经外科医护人员的精心呵护下,患者在第二天就恢复了意识,术后1周恢复至发病前生活状态,无手术并发症发生,术后2周顺利出院。

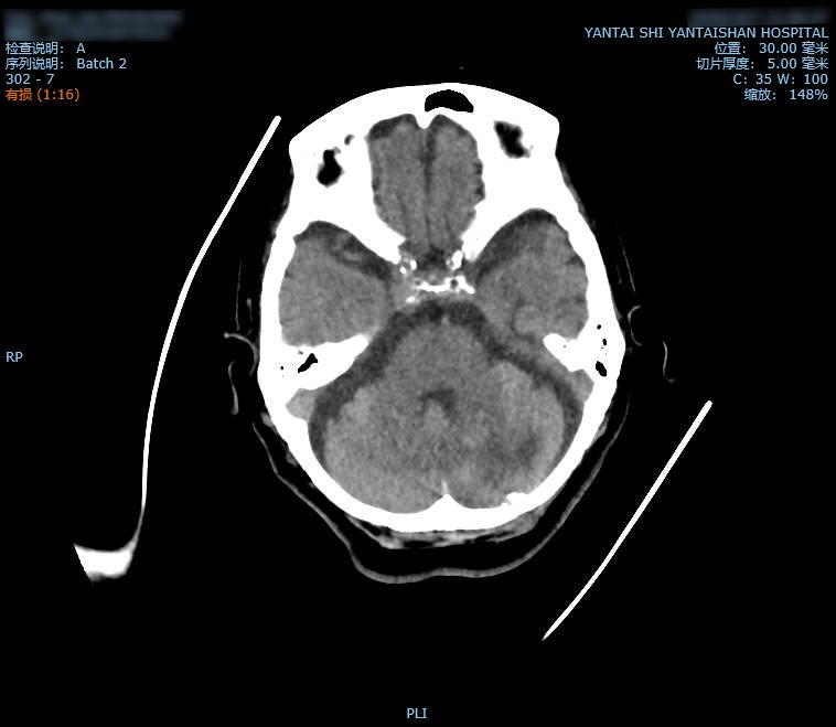
术后,患者小脑出血状况消失

手术顺利完成,患者恢复健康
脑血管病是人类死亡最常见的三大病因之一,其发生率约为150-200人/10万/年,其中,脑出血者占10%-15%,小脑出血又占脑出血的10%左右。
脑出血俗称脑溢血,每年秋冬或冬春季节变化时为发病高峰期,起病急骤、病情凶险,致残和致死率高。少量血肿可药物保守治疗,血肿量大时往往需要手术治疗。小脑出血的病因以高血压、脑动脉粥样硬化、脑血管畸形为主要因素。小脑位置特殊,靠近脑干,小脑出血易产生颅高压,血肿压迫脑干致脑干功能衰竭。小脑出血病人病情多凶险、死亡率高,出血超过10ml即需急诊手术。
如何最大程度上减少创伤,最大可能地清除病变,尽可能恢复患者的生理功能是所有神经外科医生追求的。后颅凹血肿穿刺置管引流,可以快速清除血肿、降低颅内压,达到微创治疗的目的。方体定向软通道技术是治疗脑出血的微创手术方法,该技术避免传统开颅手术的巨大创伤,又避免精确定位方法需安装头架而带来的麻烦。它具有定位方法科学合理、简便易行,可精确定位血肿靶点;软管置入,创伤小、风险低;迅速有效减少血肿体积;操作简单、治疗效果好、不需全身麻醉、并发症少;缩短住院时间、降低医疗费用等特点。
烟台山医院神经外科于2013年引进该技术,现已有300多位患者受益于该技术。近年来,科室又不断扩大这一技术的应用范围,广泛应用于治疗各个部位的高血压脑出血,甚至是小脑、脑干部位的脑出血,均取得了较好的治疗效果。
烟台山医院东院神经外科专业技术力量雄厚、医疗设备先进,可常规开展颅脑外伤、脑出血、脑血管病、常见颅内肿瘤及帕金森病的治疗,其中,高血压脑出血的微创手术治疗为科室特色。今后,东院神经外科将秉承加速康复外科理念、微创理念、精准医学理念和损伤控制理念,一切以病人快速恢复为中心,技术上精益求精,理念上不断更新,充分发挥三级甲等综合医院的技术优势,用精湛的医疗技术守护更多生命,为烟台市及周边地区百姓提供优质医疗服务。