
随着生活水平的提高,冠心病的发病率和死亡率逐年攀升,已成为导致人类死亡的第二大疾病。其中,急性心肌梗死是一种心血管急危重症,死亡率尤其是24小时内死亡率高,即使幸存也会因严重心脏并发症而无法正常生活。近日,烟台山医院收治一名急性大面积心肌梗死患者,经过紧急开通心脏闭塞动脉,恢复心脏血供,床旁植入主动脉内球囊反搏等治疗,成功挽救了患者的生命。
该患者为中年男性,运动时突发剧烈胸痛及背痛,有濒死感,大汗淋漓,疼痛剧烈持续不能缓解,被送至当地医院就诊。当地医院考虑为急性广泛前壁、高侧壁心肌梗死,立即通过烟台市胸痛中心网络联系烟台山医院,预计120分钟内可转入烟台山医院并行急诊介入治疗恢复心脏血供。
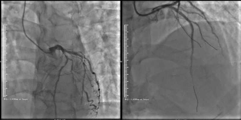
接到转运患者后,烟台山医院急诊科迅速完善心电图检查,确认“急性广泛前壁、高侧壁心肌梗死”诊断后,第一时间联系心内科重症监护病房(CCU)并启动导管室。时间就是心肌,时间就是生命,医护人员紧急将患者送至导管室,10分钟完成急诊冠脉造影术,造影结果显示患者心脏最主要的两支血管“前降支”及“回旋支”几近闭塞,估计心肌梗死面积超过心脏面积的40%。郭方明主任医师20分钟就将血管开通,患者胸痛症状明显缓解。术后将患者转入CCU密切监护,在升压药物难以维持患者血压,且患者出现心力衰竭症状时,郭方明立即决定在床旁植入主动脉内球囊反搏(IABP)以增加心脏血供、维持血压并改善心衰症状。在医护人员的悉心照料下,患者目前已转危为安,生命体征平稳。

血管开通前 血管开通后
今年9月,烟台山医院心内科重症监护病房(CCU)投入使用。CCU位于东院区门诊楼三楼西侧,开放床位10张,床护比例为1:2,主要救治急性冠脉综合症(不稳定型心绞痛、急性非ST段抬高型心肌梗死、急性ST段抬高型心肌梗死)、各种原因所致心力衰竭、高血压危象、室性心动过速、室上性心动过速、缓慢性心律失常、心源性休克、心源性猝死及复苏术后、大量心包积液、主动脉夹层,肺动脉栓塞、肺源性心脏病等,及其他系统疾病合并或并发有严重心脏疾患需要监护救治的心血管系统急危重症患者。CCU设施完善先进,临近心内科导管室,为及时成功抢救提供了有利条件,尤其极大提高了急性心肌梗死的抢救成功率。
此外,作为我国最早通过美国胸痛协会和中国胸痛中心认证工作委员会双认证的前三家医院之一,烟台山医院2011年成立胸痛中心,多年来在救治病人的同时,致力于带动山东100多家医院的胸痛中心建设,建立起较为完善的以可直接实施经皮冠状动脉介入治疗(PCI)的三级综合医院为中心、辐射周边县市区的胸痛网络,极大缩短了急性心肌梗死的救治时间,简化流程,使万千急性心肌梗死患者从中受益。