
得了冠心病,很多患者会关心这样问题,“如果要做手术,要不要放支架?”近日,烟台山医院心血管内一科在全省率先开展压力微导管冠状动脉血流储备分数测定。通过这一测定,可以精准监测冠状动脉血流状态,对病变进行功能学评价,进而更好地指导开展心脏支架植入。

烟台山医院在全省率先开展压力微导管冠状动脉血流储备分数测定。
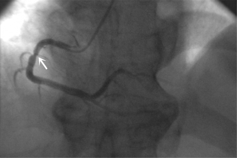
近3年来,芝罘区的赵女士在活动后经常出现胸闷、胸痛等症状,持续3到5分钟后休息一段时间便可缓解。前几天,她慕名找到烟台山医院心导管室主任、心血管内一科副主任李强。医生在为赵女士做冠状动脉造影检查时发现,其冠状动脉右冠狭窄约60-70%,李强主任、李玉辉副主任医师及陈金贺医师认真研读患者的各项检查结果后建议赵女士接受冠状动脉血流储备分数(FFR)测定。赵女士接受了这一建议,此后医生为她做了压力微导管冠状动脉血流储备分数测定,测得病变两端FFR值为0.88。结合患者的心电图检查,医生认为,目前赵女士不需要植入支架,药物保守治疗即可。

冠状动脉造影检查提示:右冠近段管状狭窄病变。

压力微导管血流储备分数测定显示:病变两端FFR值为0.88。
冠状动脉造影术目前是诊断冠状动脉病变和决定是否需要行冠状动脉介入治疗或冠状动脉搭桥术的“金标准”,但是在为中等程度冠状动脉病变、左主干病变、多支病变、分叉病变以及弥漫性狭窄等情况提供治疗决策依据时存在明显的不足,同时在评价支架植入术效果时也存在局限。
血流储备分数是衡量是否需要植入心脏支架的重要标准。FFR≤0.75时,通常认为狭窄冠脉会引起所支配心肌发生缺血,一般需要植入支架;FFR>0.8时,认为狭窄冠脉不会引起所支配心肌发生缺血,一般不需要植入支架;0.75<FFR≤0.8时,需要结合临床及其他相关指标再作判断。
烟台山医院心导管室主任李强介绍,“压力微导管技术与传统压力导丝进行血流储备分数测定相比,操作更加安全,对患者血管内壁的损伤几率更小,而且可以改善心脏支架植入术患者的长期预后。”
据悉,冠状动脉血流储备指数测定对术者的技术及心脏介入中心的软硬件条件要求很高,目前在国内只有较大的心脏介入中心才能开展。烟台山医院在全省率先开展压力微导管冠状动脉血流储备分数测定,标志着其心血管内科在常规开展心血管病诊疗工作的同时,不断引进新技术,更好地为患者解除“心病”。今后,这一测定将作为特色技术在医院长期开展,让冠心病介入治疗更加精准,让更多患者受益。