
日前,烟台山医院多学科合作,历时6小时完成了一例脑动静脉畸形切除手术,为患者拆除“颅内炸弹”。据悉,脑动静脉畸形切除手术难度较大,作为难度与风险最高的四级手术,它对医生的技术要求较高。此外,术中风险巨大,稍有不慎将引发大出血甚至危及患者生命。

烟台山医院多学科合作,为患者拆除“颅内炸弹”。
多年前,田先生因脑动静脉畸形引发脑出血住院,当时打算通过介入手术治疗脑动静脉畸形,但在造影过程中出现过敏,引发过敏性休克而致使手术中断。前段时间,田先生再次遇到脑出血而到烟台山医院神经外科寻求手术治疗。
脑动静脉畸形属先天性血管发育异常导致的疾病,是脑内血管发育过程中残留的一些未闭塞的异常血管随着时间推移而形成的畸形血管团。其血管壁很脆,易破裂,容易引发颅内出血,因此被称为“颅内炸弹”。一旦“颅内炸弹”在颅内“引爆”,患者轻则失语、肢体偏瘫,重则危及生命。此前,田先生已经遇到过两次颅内出血,再次出血的几率极高,一旦血管再次破裂,或将带来不堪设想的后果。

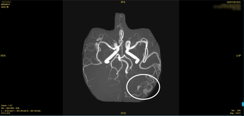
图中所示为患者的“颅内炸弹”。
目前,在临床上主要通过介入栓塞、手术切除及立体定向放射治疗等方式治疗脑动静脉畸形。通常情况下,患者需要接受联合手术,而介入治疗是单独治疗或是联合治疗的重要组成部分。很多时候,患者还要接受多期多次手术治疗。单纯手术治疗,术中大出血几率高,术后并发症发生率高达45-63%,且田先生的畸形血管团位于枕叶视觉中枢,手术后出现视力下降、视野缺损的可能性非常高。由于田先生无法接受术前造影检查,因而医生无法全面了解畸形血管团的畸形构造,由此带来的术中不确定因素增多,手术风险相应增加。
田先生畸形血管的SMG分级IV级,距离最高级只差一级。鉴于手术风险大,术前科室进行了精心准备,规划了精准的手术切口,保证病灶精准切除,并减少对正常脑组织的影响;邀请麻醉科主任邵伟会诊,共同讨论术中可能出现的各种风险,并制定详细的应对方案;术前与护理团队沟通,手术室护士长由丽波安排经验丰富的赵曼护师配合手术;术前调试好显微镜,确保万无一失;及时与外科重症监护病房沟通,商定术后治疗方案。
当天的手术在神经外科主任刘建辉的带领下,由副主任胡佳及其团队开展。摆体位,开颅,麻醉医师控制性降压,准备自体血回输装备,显微镜下分离畸形血管团,手术有条不紊地进行着……突然,一根动脉血管破裂,血液瞬间溢满手术野,大家立即准备动脉瘤夹,吸引,夹闭,血止住了,有惊无险。手术继续进行,医生在显微镜下准确寻找到3根粗大供血动脉,并用动脉瘤夹准确夹闭。经过6个小时紧张有序的操作,畸形血管团完整切除,手术顺利结束。术后,患者恢复良好,视力、视野检查与术前相比无异常,检查显示畸形血管团完整切除,埋在颅内的“炸弹”被成功拆除。
通常情况下,这样的手术只有省级以上大医院才能开展。近期,烟台山医院神经外科共完成了3例这样的“拆弹”手术,这标志着其技术水平有了大幅提升。
日前,烟台山医院东院区全面启用,并新配备了PENTARO 700和LEICA F50两台高端显微镜,这为神经外科的进一步发展提供了优质环境与技术支撑,也必将促使神经外科为患者提供更好的诊疗服务。