
日前,烟台山医院东院骨病与骨肿瘤科为一位患有软骨肉瘤的中年女性患者实施了原位微波消融手术,取得了良好的治疗效果。

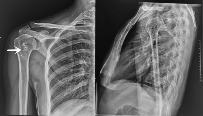
前段时间,患者徐女士因右肩部疼痛、活动受限到外院行X线检查,结果显示:右肱骨近端骨病变。患者慕名来到烟台山医院,住院后先接受了病灶穿刺活检,病理检查示:软骨源性肿瘤,不排除软骨肉瘤。烟台山医院副院长常黎明、东院骨病与骨肿瘤科主任廖光军组织术前讨论后认为,采用原位微波消融加肿瘤刮除术将会大大减少术中出血和肿瘤转移的可能性,并且能减少创伤,缩短手术时间。

术前X线可见患者右肱骨近端骨病变。
原位微波消融结合病灶刮除术治疗恶性肿瘤可以控制肿瘤进展,缓解局部疼痛,预防或治疗病理骨折,恢复肢体功能,改善患者生活质量。该技术治疗恶性肿瘤的局部控制率较满意、并发症少,是一种治疗四肢恶性肿瘤安全、有效的方法。
常黎明副院长、东院骨病与骨肿瘤科廖光军主任带领团队经过两个半小时的紧张操作,顺利完成了这例肱骨原位消融+病灶清除+内固定术,病理结果显示为软骨肉瘤。术后患者疼痛、肩关节活动改善明显,目前已顺利出院。

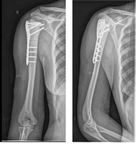
术后X线可见患者右肱骨远端病灶完全清除、骨水泥填充满意、内固定位置可。
常黎明副院长指出,微波消融技术可使作用范围内的水分子和其他带电离子发生震动,产生高温,肿瘤组织中含有较多的液体,可以在极短时间加热到60-100℃,使肿瘤细胞凝固坏死,术中在刮除肿瘤前进行原位微波消融,不仅可以将皮质骨内的肿瘤组织杀灭,还可以在尽量保留骨结构的情况下,减少复发风险。
“微波消融另一个优点是可以明显减少术中的出血,较多恶性肿瘤内有大量新生肿瘤性血管,直接刮除出血较多,部分恶性肿瘤受限于发病部位及术中无法驱血,导致止血带无法应用或效果欠佳,在刮除前进行微波消融,可以使局部组织凝固性坏死,甚至焦化,可以封闭血管断端,减少出血,使手术操作更从容,提高手术安全性和彻底性,同时也可以提高患者的耐受性。”廖光军主任介绍说。
目前,骨病与骨肿瘤科已常规开展微波消融技术用于骨与软组织肿瘤疾病的治疗,并将持续探索引进国内外先进的诊疗技术手段,以造福更多骨病患者。