
近年来,儿童误吞磁力珠的情况屡见不鲜,在百度里搜索“误吞磁力珠”,可以找到2000多条新闻,在这些新闻中常见“危险”“穿孔”等关键词。1月24日,烟台的4岁女孩倩倩(化名)将5颗磁力珠吞入腹中,幸亏取出及时,未造成消化道穿孔等大的危险。

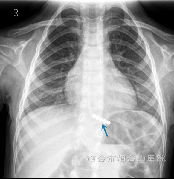
24日凌晨,倩倩的家长带她来到烟台山医院东院儿科急诊,急匆匆地告诉医生“孩子吞了磁力珠,不止一颗,现在肚子疼”。接诊的赵青春医生建议立即给孩子拍一个胸腹部立位平片。待拍片后,平片提示:磁力珠滞留在膈肌水平,食管下段,贲门口附近。磁力珠共计5颗,呈“一”字形排列。

入院后,儿科副主任马德强第一时间与杨洸、赵青春两位主治医师及护士长刘甜甜,护师陈鹏雁、别美娜商定诊疗方案和应急预案,决定尽早通过儿童胃镜将磁力珠取出。在手术室、麻醉科及胃肠外科的协助下,当天早上,医生将倩倩体内的5颗磁力珠取出。医生还在镜下发现,倩倩的贲门口上下(食管下段及胃底黏膜)各有一处溃疡,均系磁力珠挤压所致。这5颗磁力珠若未及时取出,极易出现溃疡穿孔。

马德强副主任表示,孩子的好奇心强,喜欢用手和口探索未知世界。圆圆的磁力珠色彩鲜艳,有的孩子会将它当成糖豆放入嘴里,吞入腹中。若吞入多颗,它们相互吸引,夹住粘膜,很有可能造成消化道穿孔。
医生再次提醒,家中如果有磁力珠等磁性玩具,家长一定要收好,定期检查数量是否减少,并告知孩子,这些东西不可以放入嘴中。有些家长怀疑孩子误吞磁力珠后会通过喝麻油、吃韭菜等方式试图将其排出,这种方式不但无效,还会延误病情。若怀疑孩子误吞磁力珠,家长应及时带孩子到医院就诊。此外,在给孩子选择玩具时,家长应尽量避免购买有体积小、容易进嘴以及带有磁性的玩具。