
如果出现了咽喉疼痛,你会想到什么?很多人会说,“感冒了。”你或许想不到咽喉疼痛也可能是心肌梗死发作时的症状之一。近日,烟台山医院北院急诊科收治了一位自认为感冒的患者,后经医生认真检查、仔细判断,发现是急性心肌梗死。因诊断明确、救治精准,患者得以无恙。

烟台山医院北院急诊科医生及时作出判断,为救治赢得了时间。(翻拍照片)
当天下午,这位患者来到烟台山医院北院急诊科,“大夫,我嗓子痛,还有点儿胸闷,估计是感冒了。”接诊的主治医师杜娟发现患者无发热、流涕、咳嗽等上呼吸道症状,也无咽部红肿,她判断这很可能并非简单的上呼吸道感染。为进一步明确诊断,医生为患者做了心电图检查,结果显示多导联ST段压低。当时,北院急诊科主任柳海滨、主治医师杜娟判断患者极有可能出现了心肌梗死,需立即完善心肌损伤标志物检查。很快,结果回报,显示心脏标志物肌钙蛋白明显增高,心肌梗死诊断明确。

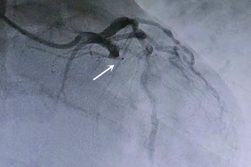
造影显示患者的冠状动脉回旋支近段完全闭塞。(翻拍照片)
时间就是心肌,时间就是生命。待向患者交代病情,并征得其同意后,北院心内一科李强主任与陈金贺、孙青两位医生紧急为患者做了经皮冠状动脉介入治疗术,患者转危为安,及时避免了重大风险,并于近日出院。
急性心肌梗死是冠心病的一个类型,是由于给心脏供血的冠状动脉急性堵塞所致。如果把人体比作一辆车,心脏是“发动机”,那么心脏的冠状动脉就是“发动机”的“供油管”,若“供油管”堵塞,“发动机”就会运行不畅,甚至“熄火”。其典型表现为患者出现剧烈而持久的心前区疼痛,但也有一些不典型表现需要加以重视,如患者咽部有紧缩感,这可能是心梗导致的放射痛;患者有呕吐、上腹部不适等症状以及出现了心力衰竭、突发性呼吸困难、不能平卧等情况。

烟台山医院胸痛中心。
烟台山医院是第一批通过中国胸痛中心认证的医院,同时也通过了美国胸痛中心的认证。医院长期致力于急性心肌梗死的急诊急救工作,在药物溶栓治疗及急诊微创手术开通冠状动脉等方面具有丰富的救治经验。柳海滨主任指出,急诊是救治生命的最快通道,若出现了胸闷、胸痛等心脏不适症状以及其他危急重症时应立即拨打“120”或就近到急诊科就诊,以免错过最佳救治时机。