
日前,烟台山医院收治一位脑干出血患者,由于出血量大,入院时患者已深度昏迷,随时有生命危险。东院神经外科通过及时手术治疗,成功挽救了患者生命。

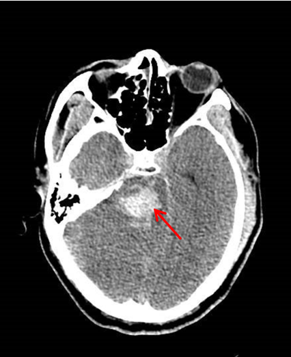
家住芝罘区的刘先生因情绪激动突发意识丧失,同时伴有剧烈的恶心、呕吐及大小便失禁,被救护车紧急送至烟台山医院东院区。入院时,刘先生血压高达210/135mmHg,颅脑CT提示脑干出血,出血量达15ml,病情危重,随时有呼吸心跳停止的可能。
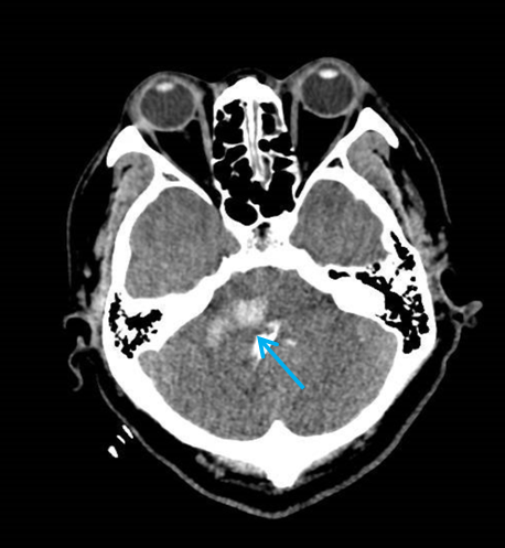
东院神经外科夏广文副主任医师对患者的病情进行了全面评估,制定了周密的手术计划,在最短的时间内做好手术准备并于当日安排了急诊手术。全身麻醉后,按照术前对患者出血位置的精确定位,夏广文为患者行方体定向微创脑内血肿穿刺手术,术中抽出血肿量约8ml,术后于血肿腔内注射尿激酶促进剩余血肿排出。整个病程中患者持续高热、肺部感染、交感神经兴奋亢进,东院重症医学科医护人员与神经外科密切配合,根据病情变化针对性给予药物治疗,经过一段时间的治疗与护理,患者脱离生命危险,病情趋于平稳。目前,该患者已顺利出院,进行下一步的康复治疗。

术前颅脑CT可见脑干出血(红色箭头所示)

术后颅脑CT可见脑干血肿清除(蓝色箭头所示为引流管)
脑出血又称“脑溢血”,是中老年人特别是高血压患者常见的急性脑血管疾病,每年全球200万-300万人发生脑出血,占所有新发脑卒中的10%~15%,并且发病率有逐年上升的趋势。脑干出血为脑出血中最严重的一种疾病,占脑出血发病率的7%~8%。脑干是人体呼吸循环的中枢,其内部存在大量的神经核团、上下行纤维束及网状结构,在维持人的意识状态,调控运动、感觉及内脏活动方面起着重要作用。有报道指出当脑干出血量超过5ml时病死率可高达80%,10ml以上的病死率则更高,对于脑干出血的治疗目前仍是世界性难题。近年来,烟台山医院东院神经外科开展方体定向微创脑内血肿穿刺术,该技术具有手术时间短、术中再出血并发症少、定位精确、对脑干及其周围重要结构创伤小的特点,是一种稳妥且有效的治疗手段。
烟台市烟台山医院神经外科成立于1984年,是烟台市首批重点学科,肩负着烟台市神经外科急危重症的诊治工作。在科室掌舵人刘建辉主任医师的带领下,科室进一步发展,诊疗能力、服务能力均处于全市领先地位。多年的专业化发展使其形成一支以微创神经外科技术为核心,设备先进、技术力量雄厚的神经外科专业医疗队伍。科室现拥有主任医师2名,副主任医师5名,主治医师1名,住院医师4名,其中博士研究生2名,硕士研究生5名。目前可常规开展颅脑外伤、脑出血性疾病、颅内感染性疾病、常见颅脑肿瘤及脑积水等的治疗。今后,神经外科全体医护人员将本着“以人为本,以民为根,以德济世”的宗旨及“诚信、友善、仁爱、钻研、创新”的精神,以精湛的医术和严谨的学风为广大患者带来更优质的医疗服务。