
分泌乳汁,本是女性的“特权”,这种事如果发生在男性身上,那就尴尬了。烟台山医院东院神经外科专家指出,男性的“乳”此尴尬很可能是垂体腺瘤造成的,应加以重视,并尽到医院的神经外科就诊。

垂体是重要的内分泌腺,体积虽小,但作用重大。(绘图:薛航)
垂体为人体重要的内分泌腺,可分泌生长激素、催乳素、促肾上腺皮质激素、促甲状腺激素、卵泡刺激素、黄体生成素等6种具有明显生理活性的激素。烟台山医院东院神经外科副主任崔新国指出,垂体腺瘤是颅内常见的良性肿瘤,人群中的发生率可达7/10万。好发年龄为青壮年,对病人的生长、发育、劳动能力、生育功能有着严重的损害,并可造成一系列的社会心理影响。“其中最常见的是泌乳素细胞腺瘤,可占到40%-60%。其次为生长激素细胞腺瘤,占20%-30%,以及其它的少见类型。”


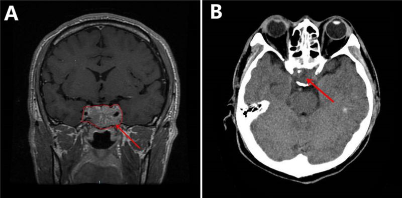
图A箭头所指处为原发肿瘤;图B为术后复查CT,可见肿瘤清除完全。
据悉,这类疾病的常见临床表现有头痛、视力视野障碍、泌乳、闭经、Cushing综合征、性欲下降、不育、巨人症、肢端肥大症等,手术是主要的治疗手段。目前,烟台山医院可开展经鼻蝶入路垂体腺瘤切除术,该手术可通过鼻腔对肿瘤进行切除,具有创伤小、并发症少以及肿瘤切除干净、安全性高等特点。崔新国指出,不仅男性出现泌乳,女性在非哺乳期出现泌乳也要警惕颅内垂体腺瘤发生的风险,并尽早就医,避免造成不可挽回的损失。