
日前,烟台山医院东院神经外科联合东院心内科重症监护病房、麻醉科成功救治了一位脑膜瘤患者。该患者的脑膜瘤巨大,位于前颅底,且跨中线,手术难度大;此外,她还患有心脏疾病,对于手术和麻醉而言,都有着不小的挑战。

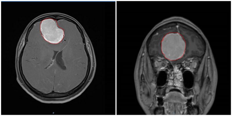
术前MRI可见前颅底跨中线巨大占位性病变(红色圈内为肿瘤)。
1个月前,患者刘女士出现了头痛、头晕等症状,并伴有恶心,检查提示前颅底跨中线巨大占位性病变,她慕名来到烟台山医院就诊。东院神经外科主任医师胡佳认为刘女士可以接受手术治疗,在对她进行相关术前检查时发现,其存在着严重的心动过缓(最低31次/分)以及窦停搏(最长2.48秒),这表明刘女士随时会心脏停搏或在术中出现严重并发症而危及生命。为确保围术期心脏安全,东院神经外科请心内科专家会诊,东院心内科重症监护病房主任郭方明认为可为患者置入临时心脏起搏器。
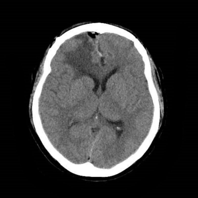
待置入临时心脏起搏器后,在科主任刘建辉的指导下,胡佳及其团队为患者开展手术。该患者的脑膜瘤巨大,约为6×5×3cm,血供丰富,靠近颅内较为重要的神经、血管,肿瘤切除较为困难。此外,其心血管系统存在着严重疾病,这也对麻醉医师提出了更高的技术要求,麻醉科主任邵伟带领大家,全面评估患者情况,选择合适的麻醉药物,术中监测起搏器运行情况,严密观察患者心脏功能,精准把控麻醉药物的种类及剂量,在保证手术需求的前提下,最大限度控制药物对心血管的抑制作用。历经8小时,手术顺利完成。术后,患者此前的头痛、头晕症状完全消失,且未发生任何神经系统后遗症。

术后CT可见肿瘤切除完全,无出血等并发症。
据悉,脑膜瘤在成人中的发病率约为8.4/10万,它是颅内最常见的良性肿瘤。其发病机制尚未完全明确,可能与外伤、病毒感染及放射线有关。脑膜瘤生长缓慢,病程长达数年,早期症状不典型且容易被忽视,很多患者误以为劳累所致,待就诊时已经长得很大。胡佳在此提醒大家,“平日里若频发头痛,且有加重的趋势,尤其是伴有视力障碍、嗅觉障碍等神经症状时应及时就诊,以确定是否有颅内肿瘤病变,不要等肿瘤长大后再接受治疗。”