
近日,烟台山医院北院区收治一位颅内静脉窦血栓患者,急诊科、神经内一科、介入医学科、医学影像科等多学科联合协作,早期诊断、精准施术、悉心护理,及时挽救了患者的生命。
烟台市民姜女士日前因头晕伴头痛3天、加重伴右侧肢体活动不灵10小时到烟台山医院北院急诊科就诊。经问诊得知,患者2天前有腹泻史,未就诊。在柳海滨副主任医师的指导下,为患者行头颅磁共振,提示颅内静脉窦血栓形成,上下矢状窦、横窦及乙状窦显影欠佳。急诊以“静脉窦血栓形成”诊断紧急安排患者入住北院神经内一科。后患者出现意识丧失伴肢体抽搐,考虑为大脑皮层异常放电造成继发性癫痫,立即给予抗凝、抗癫痫、镇静、脑保护等治疗,但是患者渐出现昏睡,随时可能出现癫痫再发作、昏迷、脑疝形成,甚至危及生命。北院神经内一科立即组织由介入医学科孙殿敬主任医师、影像科张国伟主任医师、北院神经内一科于群涛主任医师、王英主任医师、马丽丽副主任医师、邱教学主治医师等参与的多学科联合会诊。经讨论认为该患者静脉窦血栓累及范围广、血栓负荷较大、死亡率极高,需要在内科治疗的基础上立即急诊行脑血管造影评估及血管内再通术。

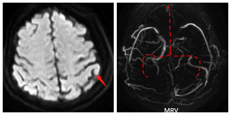
手术前核磁共振检查结果:左图显示左侧顶叶急性脑梗死;右图显示颅内静脉未见显影(矢状窦、横窦、乙状窦)。
在孙殿敬主任医师带领下,神经介入团队立即为患者行血管内治疗。脑血管造影检查证实核磁共振检查结果后,立即经股静脉逆行造影进行静脉窦血栓血管内再通治疗。经过多次支架取栓、导管抽吸,取出大量血栓,同时发现乙状窦狭窄给予球囊扩张治疗。经过5个多小时的艰苦工作,X线曝光时间约1小时,最后造影显示:上下矢状窦、横窦、乙状窦再通,颈内静脉回流通畅。术后继续给予抗凝、脱水降颅压、脑保护以及康复功能训练等治疗,经北院神经内一科全体医护人员悉心治疗与护理,患者病情逐渐好转,目前已康复出院。

术后颅内静脉血管再通(矢状窦、横窦、乙状窦显影)。

术后患者恢复状况良好。
颅内静脉窦及脑静脉血栓形成是一组由于多种病因导致的脑静脉系统血管病,统称脑静脉系统血栓形成(CVT)。与动脉血栓形成相比,CVT的发病率相对较低,约为每年(1.5-2.5)/100万,占所有卒中的1%。常见临床表现包括高颅压症状、卒中症状以及脑病样症状:头痛是颅内压增高最常见的临床表现,可见于75%-95%的患者,有时是唯一的表现,头痛严重而持续,呕吐多为喷射性,可见视乳头水肿;卒中症状包括出血性或缺血性静脉梗死的症状,以多发性小出血多见;脑病样症状虽然少见,但最为严重,临床表现有癫痫、精神异常、意识混乱、意识模糊、甚至昏迷等。
颅内静脉和静脉窦的正常循环是脑血液流通和稳定供应的重要保障,一旦血栓形成,其重残率和死亡率达到90%以上。该患者的及时救治,依赖于烟台山医院完善的急性卒中绿色通道及多学科联合救治模式。作为国家高级卒中中心及烟台市脑血管病质控中心挂靠单位,烟台山医院在不断优化院内卒中管理流程、提升诊疗水平的同时,持续做好区域卒中防治的各项工作,全面提高卒中救治能力,守护卒中患者生命健康。