
“啥?截骨也能治疗膝关节炎?”很多人都有这样的疑问,只听说过接骨治病,没听说过截骨还能治病。近期,烟台山医院东院运动医学科开展了一系列保膝手术——膝关节镜微创联合关节周围截骨术(HTO胫骨高位截骨术,DFO股骨远端截骨术及PFO腓骨近端截骨术),为广大中早期膝关节骨关节炎患者治疗提供了更优选择。

截骨术前关节镜微创清理
市民王女士是一位中年膝骨性关节炎患者,近10年来因膝关节疼痛及活动受限而辗转于省内外多家医院就诊,症状均未得到明显改善,严重影响着她的工作和生活。前几日,她慕名来到烟台山医院就诊,东院运动医学科副主任成功诊断其为膝骨性关节炎并伴有内侧半月板撕裂及软骨损伤,并将其收住院。
患者入院后,成功副主任及时组织科室人员进行病情分析,开展术前讨论,为患者制定个体化精准治疗方案。该方案既要切实有效地解决关节内半月板及软骨损伤,又要同时纠正关节外的畸形,并重新调整下肢力线,最重要的是还能够最大程度保留患者原装膝关节。经过综合评估,最终成功副主任建议患者接受膝关节镜微创联合关节周围截骨术。

HTO术中截骨线规划
经过细致的术前准备,在麻醉科、手术室的大力配合下,手术团队用时一个小时就顺利完成了该手术。术中,医生对患者关节内损伤的半月板进行了修整成形,并且完成了胫骨内侧高位截骨及撑开固定,从而精准纠正患者下肢力线,将患者负重区域由膝关节内侧调整到膝关节外侧,显著改善了膝关节内侧间室疼痛的症状,患者术后第二天即可下地活动,对手术效果十分满意。

HTO截骨术后
膝关节骨关节炎是一种常见的退行性疾病,在老年患者中发病率较高,且近年来发病年龄有年轻化的趋势,严重影响患者的生活质量。目前,针对早期和晚期骨性关节炎患者采取的治疗手段分别为关节镜微创清理和人工关节置换治疗。然而对于中期骨性关节炎这样一个庞大群体,他们的膝关节内侧间室退变严重,外侧间室仍崭新如初,如果单纯选择关节镜清理则“力度不够”,术后效果欠佳;但如果过早选择关节置换,则操之过急并令人惋惜。此外,膝关节置换手术属于骨科大手术,对于老年患者的身体机能是一次极大的考验,由于人工假体是有使用寿命的,完成置换术的中年患者未来又不得不面临假体翻修的风险。
其实,只有当膝关节骨关节炎发展到晚期,关节软骨全层磨损,关节间隙严重狭窄时才考虑膝关节置换术。在关节炎的中早期阶段,患者年龄相对较轻(<65岁)时,采用关节镜微创联合膝关节周围截骨术,可以达到有效治疗,并大大降低未来进行全膝关节置换的几率。根据目前的文献统计,胫骨高位截骨术后第一个10年的满意率与全膝关节置换持平,而在第二个10年内,因病情进展需要进行膝关节置换的比例约为15%,也就是说术后20年内,85%的患者不再需要进行人工关节置换。
与传统的膝关节周围截骨术相比,成功副主任及团队开展的系列保膝手术,不但能处理关节外的问题,也可以通过关节镜技术有效治疗关节内半月板损伤及软骨剥脱等疾病。除此之外,相对于全膝关节置换术,膝关节周围截骨术有以下6点优势:1.完整保留原装膝关节,手术完全在膝关节框架之外进行,关节的软骨、韧带完全保留,关节原有的运动模式也被完整保留;2.可最大限度精准而有效的纠正下肢力线的异常,矫正“罗圈腿”或“O”型腿;3.可恢复患者对运动功能的渴望与需求;4.OWHTO未去除任何膝关节外骨量,为患者最大程度保留了原装下肢;5.术后功能锻炼痛苦小,康复周期短;6.手术切口、出血量及创伤均明显小于全膝关节置换。
“近年来,我们一直致力于膝骨性关节炎阶梯治疗的研究与探索,对于早期、中期及晚期不同患者采取不同的治疗方案。对膝骨性关节炎非手术治疗、关节镜微创治疗及截骨保膝治疗都积累了丰富的经验,该系列手术的成功开展,让膝骨性关节炎患者有了更多更好的选择。与此同时,也再次奠定了烟台山医院运动医学科在山东省内的领先地位。”成功副主任介绍说。

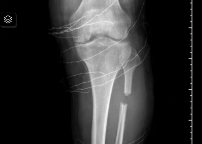
无需任何耗材植入的PFO截骨术后
烟台山医院运动医学科成立于1999年,2013年独立成科,是山东地区最早的运动医学专业科室,也是山东地区最早开展关节镜微创手术的科室之一。在全体医护人员的共同努力下,科室率先在省内开展了膝关节、肩关节、肘关节、踝关节及髋关节等领域一系列新技术、新手术,致力于为胶东地区人民的运动安全与生命健康保驾护航。
烟台山医院东院运动医学科位置及电话:
病区:东院区B座7楼 0535-6863877
门诊:东院区门诊一楼运动损伤诊室 0535-6863115