
患者李大爷1个月前出现阵发性上腹部胀痛,伴恶心、呕吐,进食后症状明显,并全身皮肤泛黄。于当地三甲医院治疗,予以“经皮肝穿刺胆道引流术(PTCD)”,术后症状持续不缓解且需长期留置外引流管,极大影响生活质量。李大爷在家人的陪伴下来到烟台山医院介入医学科就诊治疗。
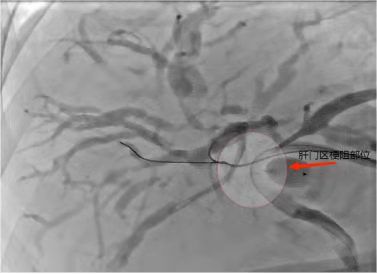
接诊的柳海华副主任医师带领团队根据患者临床表现和影像学资料,考虑患者胆管细胞癌侵犯肝门区导致胆管受阻,需尽快给病人安排手术。次日,在DSA引导下行胆道支架植入术,术中造影证实肝门区梗阻。
术中通过分析病情发现,单纯引流或单个支架很难解决该患者黄疸问题,可能需要双支架,甚至三支架,手术难度系数直线升级。此外,原本双支架技术(俗称Y形支架)需要分别穿刺左、右肝内胆管,这样给患者带来极大的损伤及痛苦,更何况三支架技术。综合考虑后,介入医学团队立即制定手术方案,尝试从原有穿刺点引入导丝,在导丝、导管的配合下,利用精湛的技术在不增加任何穿刺点的情况下顺利植入3枚支架,分别打通了右前、右后、左肝内胆管,将梗阻多日的胆汁排入肠道及体外,达到控制感染、避免肝功能损害、解决黄疸的目的。

术中影像资料——造影肝门区梗阻

术中影像资料——支架成型后

术前与术后1周胆红素对比
术后1周,患者黄疸消退,胆管回缩到正常形态及正常生理腔道,为后续治疗创造了条件。术后1月,随访得知患者饮食、睡眠良好,无其他不适症状。
梗阻性黄疸,是由于肿瘤压迫肝内或肝外胆道,造成胆道狭窄,使胆汁排泄受阻,引起血清胆红素水平异常增高,进而引起的黄疸。导致梗阻性黄疸的原因,包括肝内胆道梗阻和肝外胆道梗阻。肝内胆道梗阻多见于原发性肝癌、继发性肝癌和肝内胆管细胞癌;肝外胆道梗阻多见于肝门部胆管癌、壶腹周围癌、胰头癌等。介入医学科主要解决恶性梗阻性黄疸的胆汁淤积,对无法通过外科手术治疗的恶性梗阻性黄疸患者,经皮肝穿刺胆道引流(PTCD)及胆道支架植入术是缓解黄疸的有效手段。
此次经过介入医学科团队的共同努力,准确配合,成功完成高难度PTCD联合胆道支架植入术,标志着科室在胆系疑难疾病诊治水平再上新台阶。今后,烟台山医院介入医学科将继续学习成长,不断发展进步,着力提高临床各种高难度脑血管及周围血管狭窄、闭塞性疾病、肿瘤性疾病、急性出血性疾病、非血管性疾病等疑难介入手术技术的质量,规范、高效抓好科室病房收治诊疗工作,坚定地朝着建设一流科室目标迈进!