
“感情深,一口闷”,亲朋相聚,总有人开怀畅饮。小酌怡情、大酌伤身,前几日,烟台市民王先生在喝醉后摔伤头部,引发重度颅脑损伤,险些危及生命。
当日,王先生在一次家庭聚会中大量饮酒,醉酒后不小心摔伤头部。本以为并无大碍,直到半夜王先生也未“醒酒”,家人有所担心,赶紧把他送到了烟台山医院东院区。

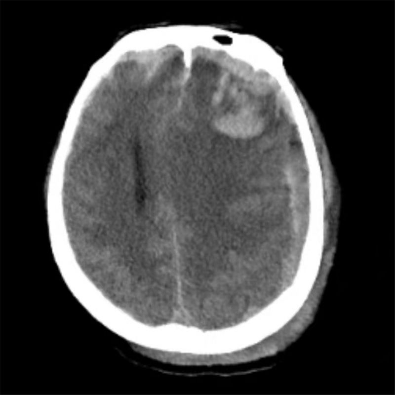
术前颅脑CT可见:颅脑多发挫裂伤、左侧额颞顶部急病硬膜下出血,脑组织受压明显。
王先生入院时颅脑CT提示:颅内多发性大脑挫裂伤、急性创伤性硬膜下出血且合并脑疝(一种颅脑急危重症,可迅速致人死亡)。东院神经外科夏广文副主任医师查看病人后,对其病情进行评估:病人意识处于深昏迷状态,颅内出血量大,中线结构移位明显。遂立即完善术前准备,急诊手术治疗。术中见颅内弥漫性出血,多发挫裂伤,夏广文仔细为其清除血肿及挫伤灶。术后,王先生住进东院急诊重症监护病房,在潘继明副主任医师医疗团队的治疗下,最终转危为安。


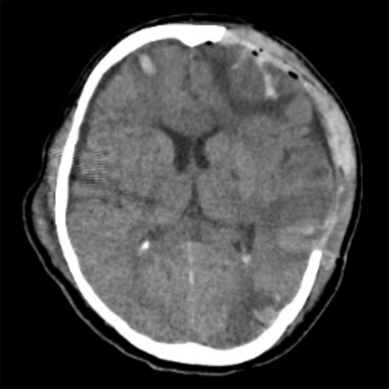
术后颅脑CT示:颅内血肿清除完全,中线结构回归。
颅脑损伤是一种常见病、多发病,其发生率居全身创伤的第1、2位。30年前,颅脑损伤的病死率为50%,随着医疗技术的进步下降到30%左右,但在存活的病人中,轻度损伤者中约10%的人会遗留永久残疾,中度、重度损伤者的致残率高达66%、100%。导致颅脑损伤的病因中,交通事故占32%,职业事故占24%,摔伤或高空坠落占22%。据统计,很多颅脑损伤都是饮酒引起的,饮酒不仅会使人的注意力、判断力下降,而且会导致肢体的活动笨拙。此外,酒是一级致癌物质,平日生活中我们应做到不饮酒,更不能酗酒以及劝他人过量饮酒。