
日前,烟台市民李先生突发意识不清陷入深度昏迷,被送入烟台山医院南院急诊科,后被收入南院内二科进行救治。
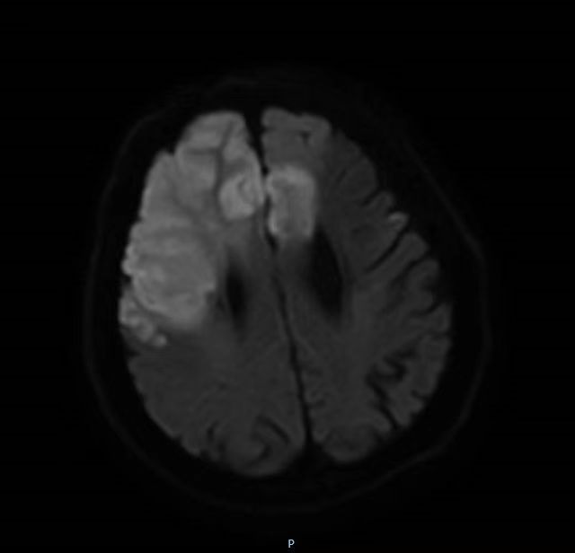
据了解,李先生入院时呈深昏迷状态,双眼向右凝视,左下肢肌力0级,左上肢肌力3级,右侧肢体肌力3级。左侧病理征阳性。急诊颅脑CT提示多发性脑梗死。MRI提示左侧额叶、右侧额颞顶叶及右侧基底节区大面积急性脑梗死,情况非常危急。

颅脑核磁共振提示大面积急性脑梗死。
对于脑梗死患者而言,时间就是生命。每过一分钟,就会有成千上万神经细胞因缺血缺氧造成不可逆的损伤。值班医师立即汇报科室负责人王臻副主任医师,经仔细询问病史,该患者系醒后卒中,即夜间睡眠中发病,早上才被家属发现肢体瘫痪、意识不清,具体发病时间无法确定。
静脉溶栓是目前国际指南上推荐的治疗急性缺血性脑卒中的首选方案,但常规的静脉溶栓治疗有严格的时间窗限制,要求发病时间必须明确,甚至需要具体到分钟,从发病到应用静脉溶栓药物时间最长不能超过6个小时,该患者显然不能确定发病是否在6小时以内。而李先生此时病情危重,眼看宝贵的抢救时间一点一点流逝,意识状态仍没有好转的迹象,旁边的家属一筹莫展。王臻副主任医师当即组织全科医师讨论,决定拟对其行扩大时间窗的静脉溶栓治疗,虽然这样会一定程度上增加脑出血的风险,但和家属充分沟通、仔细交代病情后,家属表示愿意承担这样的风险。最终经过急诊颅脑磁共振评估后,李先生接受了静脉溶栓治疗,为脑梗死的恢复争取了宝贵的时间。通过南院内二科医护团队科学精准的治疗和护理,5天后患者清醒,在家属的协助下能坐立;入院一周后患者病情稳定,顺利出院。
南院内二科作为烟台山医院中国胸痛中心、国家高级卒中中心重要组成部分,承担南院区急性心肌梗死、急性脑梗死等心脑血管急症抢救任务。科室将始终以专心、精心、爱心换取病人的安心、放心、舒心,为烟台市广大市民做好医疗服务。