
骶骨肿瘤手术属于骨肿瘤极高风险手术,骶骨脊索瘤大多起病隐匿,首发症状除腰痛外,多为泌尿系统功能的改变,肿瘤早期不易发觉,易误诊漏诊。通常确诊时,已长至较大体积,并且骶骨肿瘤部位深、四周解剖关系复杂,易与直肠、膀胱及大血管粘连,骶骨前方交会静脉丛,使得手术出血多、难度大、风险高。以往此类患者大都需要前往北上广接受治疗,耗时耗力。近日,烟台山医院副院长常黎明带领骨病与骨肿瘤科,借助3D打印技术成功完成一例骶骨巨大恶性肿瘤手术,解决了患者的求医困境。

骶骨脊索瘤被当成腰痛治了4年
王先生从4年前就开始出现腰部疼痛,在当地多家医院多次就诊,均被告知腰椎间盘突出。试过多种治疗,疼痛一直未有明显改善,并且病情逐渐加重。最近出现会阴部疼痛、排便困难,便于近日慕名来到烟台山医院骨病与骨肿瘤科就诊,门诊医师完善相关检查后告知王先生考虑骶骨脊索瘤的可能性较大,建议入院先行穿刺活检,明确肿瘤性质。住院后,经穿刺后病理明确为脊索瘤。

3D打印技术造福患者
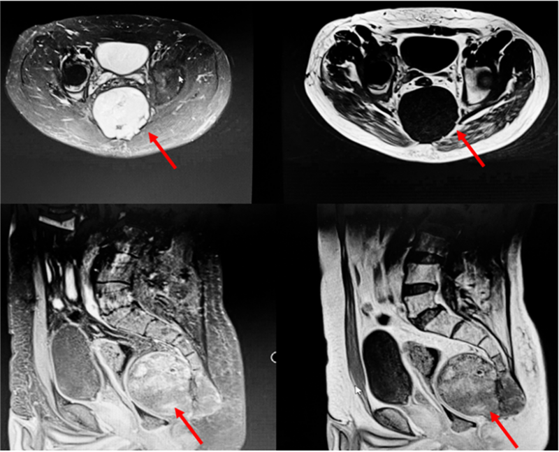
病灶巨大,达12厘米×9厘米,不仅破坏了骶骨骨质,还侵犯了臀大肌。此外,解剖位置较深,周围结构复杂,瘤体血运丰富,手术暴露困难,给切除带来了极大挑战。常黎明院长、廖光军主任团队多次在科内组织病例讨论,制定各种详尽的手术方式,包括肠道切除+直肠造瘘、皮瓣移植术等多个手术备选方案。同时运用3D打印技术,根据术前患者影像学数据,以1:1的比例3D打印骶骨模型,帮助术者更为清晰地了解和掌握肿瘤界限及侵犯程度,可以进行术前的规划和手术方案的优化,同时为患者及家属和术者提供触觉与视觉上的体验,帮助术者与患者及家属更有效地完成术前沟通。
以最小代价让患者获得最大收益
常黎明院长介绍,脊索瘤是低度恶性肿瘤,对放化疗都不敏感,手术切除是首选治疗方案。但手术有两个大的问题:第一,大出血问题。骶骨恶性肿瘤的手术方法虽多,但由于局部血运极为丰富,存在着术中失血过多乃至休克死亡的风险,所以很多医院都不开展这类手术;第二,大小便及性功能问题。骶骨肿瘤切除后影响生活质量的一个重要问题就是大小便功能障碍和性功能障碍。一般来讲,低位较小的肿瘤容易切除而不致神经损害,而高位的较大肿瘤则很难在不致神经损伤下予以切除。为使患者的大小便功能及性功能不受影响,应至少保留一侧的骶3 神经根,而骶2 以上的神经根正常。当一侧的骶神经完全切断,而另一侧正常时,90%患者的大小便功能及性功能正常。此外,肿瘤贴近直肠生长,且与直肠有黏连,术中剥离肿瘤时很有可能会导致直肠破裂,进而引起切口感染,术后引起直肠瘘,并发严重而顽固的感染性休克。
术前已充分与患者及家属进行沟通,患者及家属也同意以牺牲大小便功能为代价切除肿瘤,但医者仁心,常黎明院长、廖光军主任团队依然决定,一定要以最小代价让患者获得最大收益。
历经3小时,完整摘除“炸弹”
术前,介入科帮助栓塞肿瘤滋养血管及安置腹主动脉球囊。在麻醉科、输血科保驾护航下,常黎明院长、廖光军主任团队术中利用3D打印模型,清晰明确了恶性肿瘤侵犯的软组织范围,骨破坏程度,需截骨的位置等,减少了术中X线透视的使用次数,简化了手术步骤,使术中出血量减少,复杂的骨肿瘤手术变得相对容易,最后历时3小时,出血2000毫升,顺利完成了手术。术后,王先生左侧骶3及以上神经得以保留,大小便功能未受损,刀口愈合良好。王先生对手术效果非常满意,现已顺利康复出院。
廖光军主任提醒广大患者,腰骶部、大腿疼痛除常见的腰椎间盘突出症、腰肌劳损、骶筋膜炎等原因之外,还需要排除盆腔、骶骨病变引起的可能。建议一旦发现这些异常,应寻求专科医生诊治,并再次强调恶性肿瘤早期发现、早期治疗、早期预防的原则。

关于烟台山医院医学3D打印创新研究中心
在“医工结合”的大形势下,烟台山医院医学3D打印创新研究中心是烟台市首个医学3D打印创新研究中心,由烟台山医院与上海交通大学医学院附属第九人民医院3D打印技术临床转化研发中心联合创办,于2021年10月成立。中心具有3D导板、模型打印实验室,内植物假体实验室等实验场所,主要通过研究医学成像、处理、建模、增强现实技术,利用计算机数字技术辅助手术规划及3D打印技术的临床应用,用崭新的科学理念、坚实的理论基础、先进的诊疗模式,以更加精准的诊断和治疗实现在临床医学中的广泛应用。自3D打印创新研究中心成立以来,在多学科、多领域实现了众多的零突破,在全国3D打印创新大赛中荣获二等奖。烟台山医院3D打印创新研究中心一直秉承“科技创新、以人为本”的理念,在上海九院戴尅戎院士以及滨州医学院的大力支持下,不断加大科研力量投入,争取用更多的科研成果造福患者。