
近日,烟台山医院东院心胸外科为一位食管裂孔疝患者成功实施了手术治疗,有效缓解了多年以来反复发作的腹痛及反酸症状,取得了满意效果。

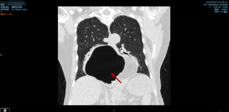
图中所示,该患者的胃“跑”到了膈肌以上。
据悉,该患者今年58岁,4年前的一次外伤导致其食管裂孔撕裂,胃组织疝进入到胸腔内。4年间反复出现腹痛、反酸以及烧心等症状,最初每月出现一次,到后来发展到每周一次,每三天一次,患者痛苦不堪,也曾辗转到多地就医,均以其疝囊较大而未得到有效治疗。半个月前,症状加重,患者因剧烈腹痛而到烟台山医院就诊。
术前,东院心胸外科刘曙亮主任团队对患者的病情进行了认真分析,认为其食管裂孔疝多年,内科保守治疗后病情逐渐加重,可能导致慢性反流性食管炎、食管溃疡、消化道出血,甚至疝扭转引起嵌顿,并发缺血坏死,重时足以危及生命;如果进行手术治疗,疝囊挤压刺激胸腔内脏器,形成慢性炎症,胸腔内粘连严重,同时疝囊跨越纵隔,手术需要同时处理左右两侧胸腔内粘连组织,手术难度大、风险高。

此后,科室对患者病情作了进一步分析,并组织了院级多学科讨论,制定了个性化的手术方案。在麻醉科及手术室的配合下,手术从左侧入胸,仔细剥离疝囊,将胃组织还纳入腹腔,修复撕裂的食管裂孔,纠正胃食管反流,解除患者腹痛等不适症状,取得了满意效果。该手术的成功展示了东院心胸外科在诊治疑难复杂病例方面丰富的理论与实践经验。
据介绍,食管裂孔疝是指除食管以外的任何腹腔组织结构,通过扩大的膈肌食管裂孔进入胸腔形成的疝。最常见的症状为胸骨后、下腹部疼痛,反胃,部分患者表现为进食后上腹饱胀,欲吐不能。手术治疗是根治食管裂孔疝的首选。