
癫痫,俗称“羊癫疯”。其发作是不同病因作用于大脑皮层某个或某些区域,致使神经细胞群突然过度或超同步短暂放电,并出现特异性的临床表现,临床上把这种异常表现过程叫做癫痫发作,脑出血是癫痫发作常见的原因之一。近年来,随着生活方式的变化,高血压患者增多,脑出血的发病率也在逐年上升,其引发的癫痫发作在临床上并不罕见。近日,烟台山医院神经外科成功救治一位因脑出血诱发的持续性癫痫患者。

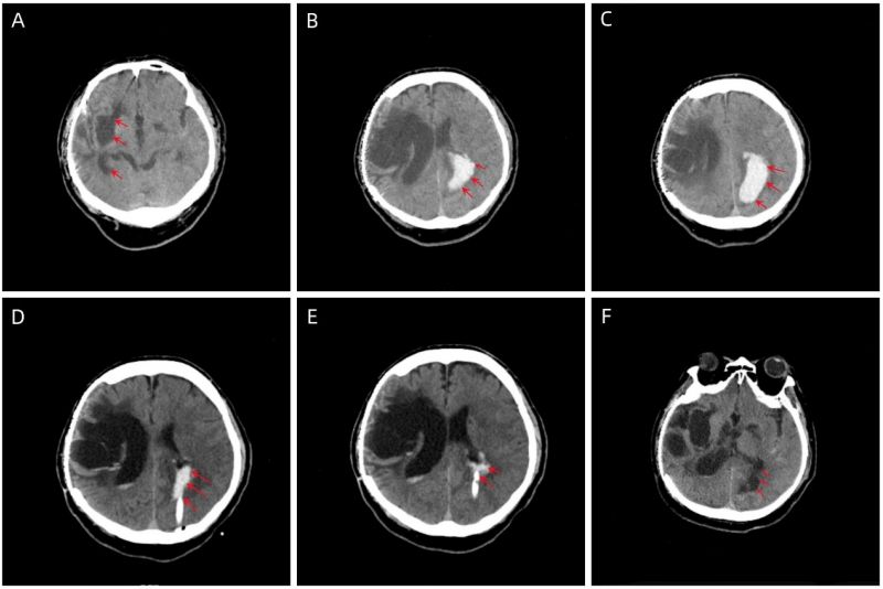
图A:既往脑出血遗留瘢痕;图B、C:术前颅脑CT可见左侧顶枕叶可见片状高密度影,侧脑室受压,局部可见低密度水肿带;图D、E:术后颅脑CT可见颅内血肿较术前减少,局部可见引流管影;图F:出院时复查颅脑CT,颅内血肿吸收完全,局部瘢痕形成。
该53岁男性患者因“意识障碍伴肢体抽搐13小时余”入院。入院后立即完善颅脑CT检查,显示其左侧顶枕叶可见片状高密度影,量约40ml,局部脑结构受压。经快速评估,患者出血量较多,需要手术治疗。经系统评估患者病情,胡佳主任医师团队决定为患者实施微创穿刺血肿引流手术。术中引流管一次顺利到位,术中抽出血性液体20ml,术后患者癫痫症状明显缓解,发作次数明显减少,发作时间也明显缩短。经过术后系统治疗,科学调整抗癫痫药物,患者很快顺利出院。
据悉,最近10多年该患者多次因脑出血而接受治疗,病情复杂,治疗难度较大,临床需要综合考虑多方面因素,制定个性化治疗方案。该患者的治疗成功也从侧面反映出烟台山医院神经外科对这方面疾病诊治的丰富经验。
胡佳主任介绍,癫痫发作主要是因为脑组织受伤后发生结构紊乱,局部细胞的生理功能、生物化学传递和新陈代谢等发生异常,导致给局部脑组织电生理传导出现异常所致。传统的脑出血治疗为开颅手术清除血肿,手术创伤大,术后局部会形成大的瘢痕或是软化灶,诱发术后癫痫发作。近年来随着科技的发展,微创手术应用逐渐增多,其中微创颅内血肿穿刺引流术因为其创伤小、手术时间短、治疗费用低等优势而逐渐取代了开颅手术。烟台山医院神经外科开展此项技术已有10余年,能够熟练精准应用对该技术,取得了较好的临床效果。
烟台山医院神经外科有多名医师兼任山东省抗癫痫协会理事及委员,致力于癫痫治疗多年,在治疗各种颅内疾病引起的癫痫上有着丰富的临床经验,熟练掌握国内外各种最新的癫痫病治疗理念及技术,能够为癫痫患者提供最佳的治疗方案。