
在麻醉科及护理团队的密切配合下,烟台山医院足踝外科曲文庆主任团队日前完成了烟威地区首例3D打印全距骨置换术,用定制的个性化距骨假体置换坏死的距骨,成功解除了患者的痛苦。该技术的应用,为距骨缺血坏死患者保留了基本正常的踝关节功能。

烟台山医院足踝外科曲文庆主任团队正在为患者手术。
11个月前,该患者因车祸造成左踝关节开放性骨折脱位,在当地医院接受了5次手术治疗。术后出现足踝关节僵硬、行走时足踝部疼痛难忍,无法正常负重行走。
前段时间,该患者慕名找到烟台山医院足踝外科曲文庆主任,经过仔细检查,他诊断其为“创伤后距骨缺血坏死、胫距关节创伤性关节炎”。传统的治疗方案为关节融合术,术后可以缓解疼痛,但会导致关节僵硬,日常生活极其不便。

术前影像显示,患者的距骨坏死塌陷。
为帮助患者解除疼痛,同时还能最大程度地保留关节的运动功能,曲文庆主任团队在对病例进行详细评估之后,决定实施3D打印全距骨置换术。据悉,这是烟威地区首次开展此类手术;据报道,全国范围开展的尚不足30例,可借鉴经验甚少。曲文庆主任高度重视,为患者进行了详细的术前准备,足踝外科团队与3D打印中心研发团队针对假体形态、表面光滑度、韧带附着点等细节进行了多次推敲设计,历时半月为患者量身定制钛合金距骨假体。

量身定制的3D打印全距骨假体。
由于术前准备充分,距骨取出、假体置换、内外侧韧带重建、跟腱延长等手术步骤进展得非常顺利,手术历时100分钟顺利完成,术中,踝关节恢复了良好的匹配度及活动度,距下关节的活动度也得以保留。目前患者恢复良好,已经顺利出院。

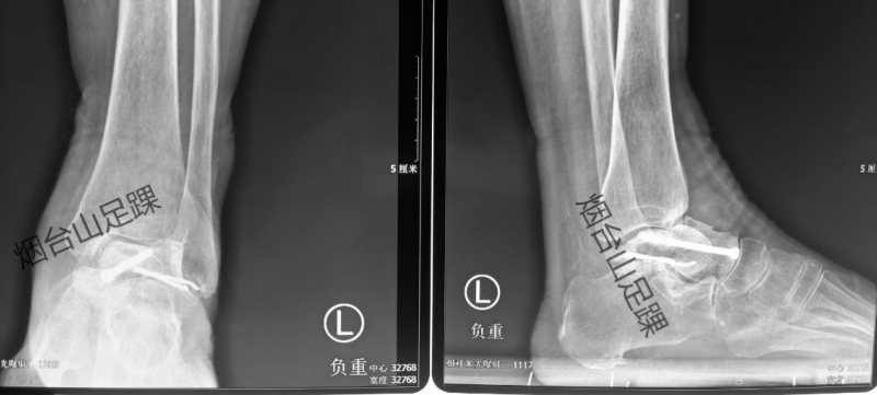
术后X线片显示,胫距关节匹配良好。
烟台山医院足踝外科成立两年以来,在医院的大力支持下实现了跨越式发展,科室影响力不断扩大。科室现有医师8人,均取得了博士或硕士学位,在足踝创伤修复、创伤后遗症功能重建、先天后天性畸形矫正、足踝关节镜微创手术、足踝康复等方面各有所长,团队在踝部骨折、踝关节炎治疗方面达到国内先进、省内领先水平,综合技术水平和科研能力达到省内先进水平。科室负责人曲文庆主任医师担任中华医学会骨科分会足踝外科学组青年委员、山东省医学会骨科分会足踝外科学组副组长、烟台市医学会骨科分会足踝外科学组组长等职务;烟台山医院医学3D打印创新研究中心是全市首个医学3D打印创新研究中心,由烟台山医院与上海交通大学医学院附属第九人民医院3D打印技术临床转化研发中心联合创办,中心将3D打印技术应用于诸多疑难、复杂手术中,让更多患者得到了精准化、个性化的治疗。中心成立到现在,共打印模型160多个、手术导板200多个,与上海交通大学医学院附属第九医院合作,设计并应用植入假体25例。