
髋关节翻修术具有操作复杂、难度大等特点,在一定程度上算得上是髋关节手术的“天花板”。前段时间,烟台山医院南院骨科为一位80岁的患者完成了髋关节翻修术,帮他解除了病痛,恢复了正常生活。
这位患者在两年前摔伤过右髋,在当地医院接受了人工髋关节置换术。两年来,他的右髋持续痛疼,活动受限,到后来,他已不能自主行走。日前,其家人带着他来到了烟台山医院,找到了南院骨科孙冰主任。相关检查显示,患者的右髋部肿胀,右髋关节活动剧痛、压痛阳性,患肢较对侧缩短4厘米。

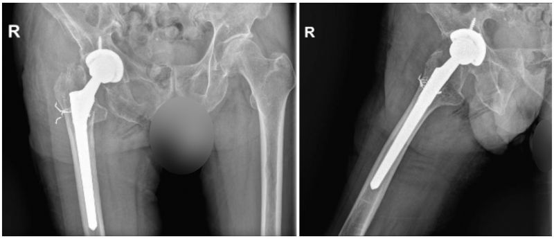
术前影像资料。

患者的患肢较对侧缩短4厘米。
孙冰主任带领南院骨科医疗团队对患者的病情进行分析讨论,综合病史、临床表现及相关影像学检查,一致认为:患者右髋关节疼痛及活动受限主要由右侧人工股骨头假体上移、假体功能障碍所致。鉴于患者的病情复杂,医生先通过3D打印技术,打印模型,预演手术,并对术中潜在的风险进行了全面的评估。最终,科室制定了较完善的全髋关节假体翻修术的手术预案以及围术期详细的治疗及护理方案。
有了充分的术前准备,手术顺利完成。术后第二天,这位患者对前来查房的孙冰主任大加赞赏:“感谢你为我做手术,终于不再受疼痛折磨,两年了,第一次睡觉睡得这么香。感谢照顾我的每一位医生、护士。”经南院骨科医护人员的精心治疗与细心护理,患者得以快速康复,术后第三天顺利出院。

术后影像学检查。
据悉,髋关节置换术是一种把人工设计的关节假体植入体内,替代病变关节的技术。常常把第一次人工关节置换术称为初次置换,而同一关节的第二次置换称为翻修术。在做了第一次髋关节置换手术后,因长时间使用致假体磨损老化,或其他各种原因,会出现髋关节假体移位、松动,髋臼磨损、内陷等问题,这时候患者可能面临着再次置换的问题。
孙冰主任表示,髋关节翻修手术不同于初次置换手术,由于长期使用人工假体后骨骼质量大幅下降,二次手术的解剖层次不清晰等原因导致手术中不确定性较多,其难度较初次人工髋关节置换术明显增加,需要详尽的术前计划,术中必须具备超强的应变能力,术后医护团队的密切配合。因此,要接受髋关节翻修手术,一定要选择有经验的医生和有条件的医院。