
近日,巫山县中医院收治了一位全身多处严重刀刺伤并休克的伤者,在烟台山医院支医专家史玉波、县中医院外科主任陈林的带领下,多学科协作,第一时间实施手术,伤者得以转危为安。

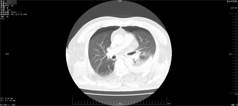
当日凌晨,该伤者因刺伤胸部、腹部2小时后紧急入院。入院时,精神差,面色苍白,呈急性疼痛面容,全身血污。体温35.9℃,脉搏154次/分,呼吸28次/分,血压86/60mmHg。双侧后胸部第五肋间可见各一处2.5cm锐器伤口,有鲜血及气泡溢出,左上腹部纵向伤口长约2.5cm,深入腹腔,有鲜血溢出。入院急诊CT检查提示:双侧血气胸,左侧为重,腹部脐上左腹壁贯穿伤,腹腔盆腔积液,腹腔积气。
由于病情危重,在急诊科建立静脉通路,并完成CT检查后,该伤者被送到手术室,接受抗休克抢救治疗及下一步的手术治疗。在与患者家属沟通后,在气管插管全麻下,医生行剖腹探查术+空肠破损修补术+腹腔冲洗引流术+大网膜部分切除术+胸腔镜下左侧胸腔内血肿清除+肋间血管破裂止血+肺裂伤修补术+右侧胸腔闭式引流术,在外科团队及各科室的密切配合下,手术顺利完成,患者脱离危险,术中患者的胸腔及腹腔出血共计2500ml。术后,伤者生命体征逐渐平稳且恢复良好,并于日前痊愈出院。
该伤者的成功救治得益于烟台山医院支医专家的大力支持,以及院内救治流程的不断完善,各科室迅速反应、密切协作。这标志着巫山县中医院的外科急危重症救治水平再上新台阶,必将为辖区群众提供更好的医疗服务。
今年7月,包括史玉波在内的27位医疗专家从烟台来到重庆巫山,开展“组团式”支医工作。据悉,今年是烟台与巫山结为东西部协作单位的第6年。自2018年烟台市卫生健康委与巫山县卫生健康委结为东西部协作单位以来,双方积极协作,烟台市卫生健康委累计援助巫山县卫生健康系统项目6个,帮扶资金达1833.24万元,双方互派业务骨干233名,开展学习帮扶活动14次,结成了6对院际帮扶对子,开创出全方位、深层次的协作共赢新局面。