
对于高龄老人而言,最怕摔一跤后出现骨折,因为这很可能是“人生的最后一次骨折”。骨折后,很多人认为老人经不起手术或害怕手术,而选择保守治疗,一旦卧床时间较久,坠积性肺炎、深静脉血栓、肺栓塞、压疮、泌尿道感染等并发症随之而来,严重影响着患者的生活质量,甚至威胁到生命。日前,烟台山医院南院骨科为一位高龄患者完成了手术,取得了较好的治疗效果,其家人称赞:“交给你们,我们放心!”

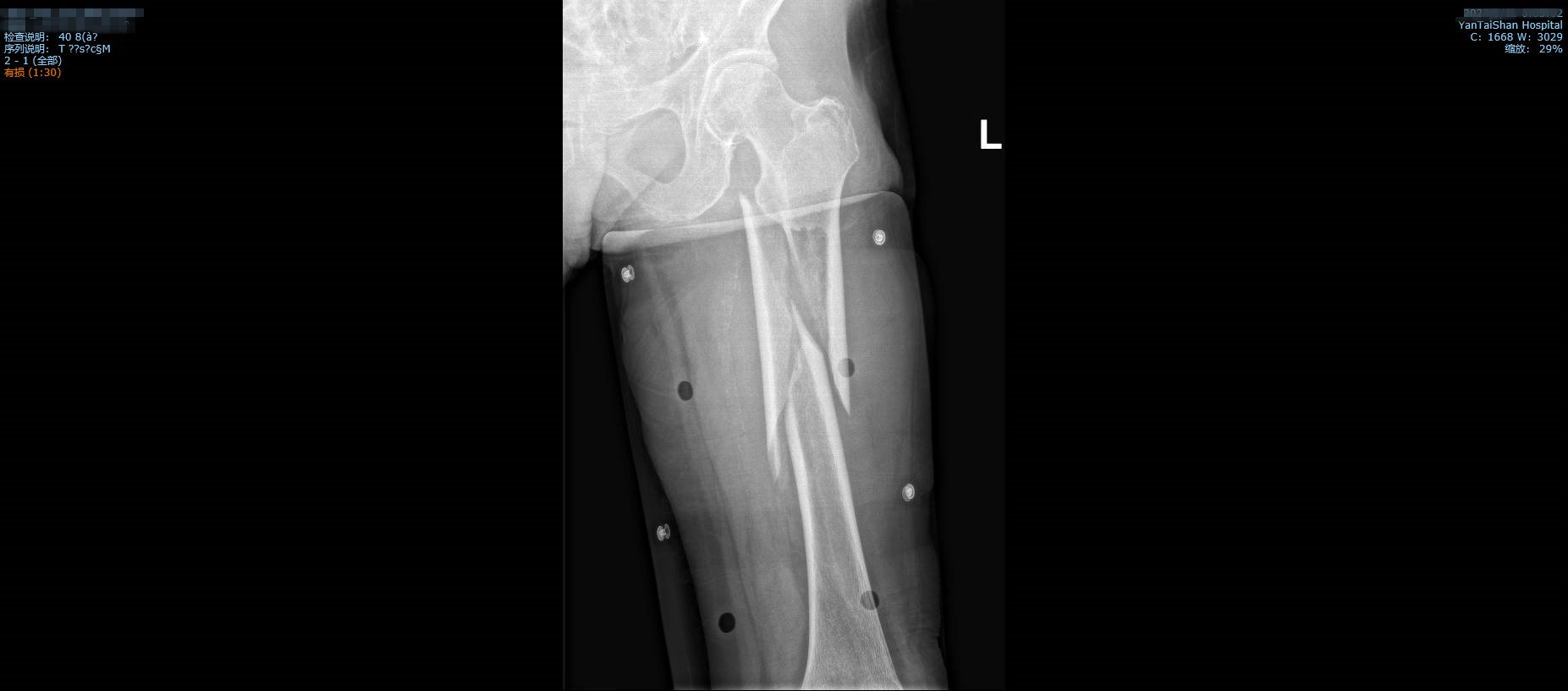
术前影像学检查。
前几天,91岁的王奶奶在家不慎跌倒,家人连忙将她送到了烟台山医院南院骨科,拍片检查后发现:股骨干骨折。家人对此十分担心,不知道王奶奶能否渡过这一关。
入院后,南院骨科孙冰主任对其进行仔细检查,发现王奶奶的骨折类型是“32c复杂股骨骨折”,这种多节段、不规则的骨折可导致大范围出血,严重者出血量高达2000ml,容易出现出血性休克,危及生命。并且王奶奶多系统功能均有障碍,她有着20多年的糖尿病史,患高血压15年,贫血、肺部感染、胃肠功能紊乱合并各类并发症……血红蛋白甚至只有59.00g/L。
为让王奶奶重新站起来,南院骨科联系多科室,一起想办法,为手术做准备。输血科调度多袋血制品纠正患者贫血;全科医学科医师将王奶奶的血糖、血压控制在适宜手术的稳定状态;麻醉科充分评估了相应的风险,并维持术中、术后的各项生命体征。

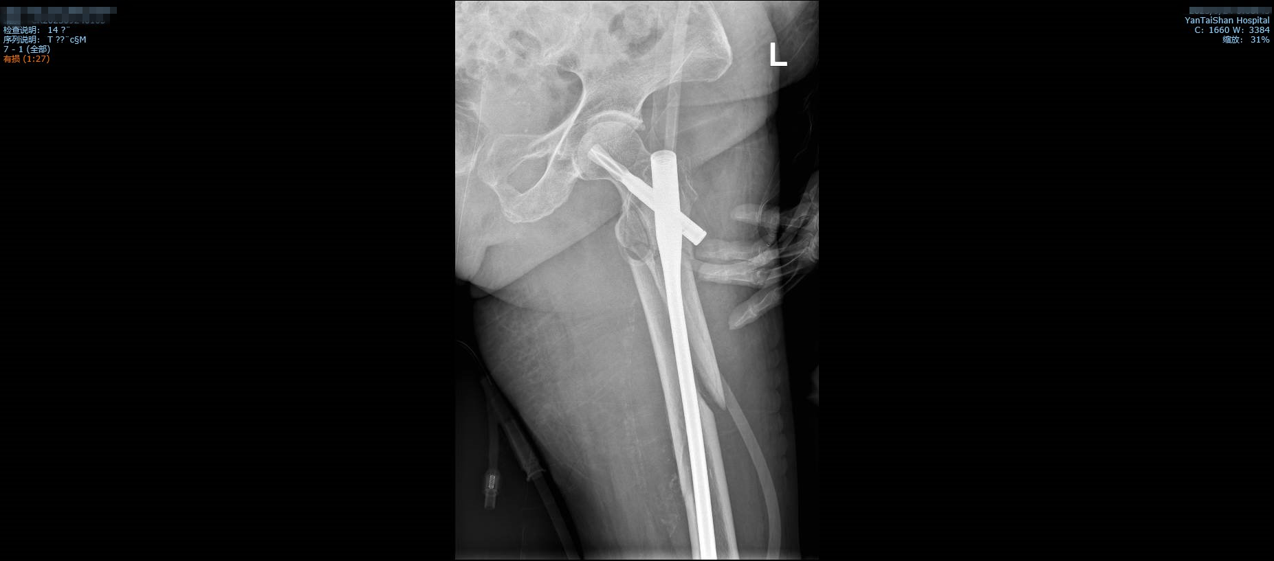
“时间就是生命”,南院骨科尽早为王奶奶安排了手术,这台股骨闭合复位髓内针手术用时只有30分钟,术中出血仅50毫升。

术后影像学检查。
手术成功只是第一步,术后康复同样重要。术后,南院骨科任栋慧护士长带领护理团队,通过脐灸、埋针治疗、穴位贴敷等中医特色护理,缓解王奶奶的术后疼痛以及恶心呕吐等反应,每日指导患者进行科学高效的肌肉训练和关节主被动活动,避免了下肢静脉血栓、肌肉萎缩、关节僵硬等情况的发生。
在医护人员的精心治疗和细心护理之下,王奶奶如期康复出院。近年来,烟台山医院南院骨科以其精湛的医术、优质的服务让众多高龄患者重新收获健康,改善了他们的生活质量,让芝罘南部的群众在家门口就可以享受烟台山医院骨科专业同质化诊疗服务。