
日前,烟台山医院东院胃肠外科宫红彦、王永团队顺利完成一例复杂腹膜后巨大恶性肿瘤切除手术。

前段时间,烟台市民孙女士来到了东院胃肠外科门诊,王永副主任在询问病史时得知,2个月前,孙女士因腹痛腹胀到当地医院就诊,并在检查中发现了巨大腹膜后肿瘤。为求手术治疗,她曾辗转多地就医,医生都认为手术难度大、风险高,均建议她到上级医院就诊。王永副主任仔细阅片后认为患者仍有手术治疗的机会,这给孙女士带来了一线希望。


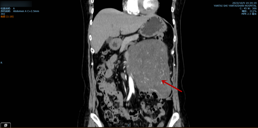
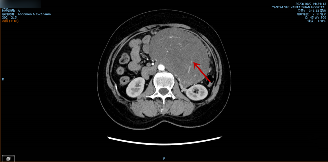
图中所示为巨大腹膜后肿瘤。
这2个月以来,孙女士的腹部日渐隆起,并出现压迫症状,腹痛、腹胀较以前更为严重,稍多进食就会呕吐。住院后的增强CT检查显示:腹膜后巨大肿瘤压迫十二指肠及空肠起始段并导致梗阻,肿瘤和腹主动脉、下腔静脉等大血管关系密切,肿瘤指标明显升高。如此以来,手术难度进一步增加,但患者的腹痛及压迫症状持续加重中,手术迫在眉睫。
为确保万无一失,东院胃肠外科在术前组织了多学科会诊,经讨论,大家一致认为:腹膜后恶性肿瘤诊断明确,压迫梗阻症状明显,最佳治疗方案为手术切除,但肿瘤存在于腹膜后这个特殊位置,其周围血管、神经丰富,肿瘤压迫导致周围正常的解剖结构消失,并遮挡了手术视野。面对如此棘手的情况,宫红彦、王永团队联合麻醉科、ICU、输血科团队,仔细分析病情,拟定手术方案,推演术中可能出现的意外情况并制定了相应的应对措施。在做好十足的术前准备后,宫红彦、王永团队为患者顺利进行了手术,手术切除了直径超过20厘米肿瘤。术后病理显示:(腹膜后肿瘤)恶性间叶源性肿瘤,间质伴黏液变,结合免疫组化结果符合平滑肌肉瘤。
近年来,烟台山医院东院胃肠外科在宫红彦主任的带领下发展迅速,其胃癌、结直肠癌的腹腔镜根治技术,经自然腔道取标本手术(NOSES)已达到国内先进水平,在腹膜后恶性肿瘤的手术切除方面积累了丰富经验,有效提高了手术成功率,减少了手术并发症。今后,东院胃肠外科将以更高的技术和更优的服务为更多患者解除病痛。