
吃饭时卡住鱼刺的情况很多人都遇到过,常无大碍。前几天,烟台市民李先生在用餐时误将一根鱼刺吞了下去,这根鱼刺最终穿透胃窦,刺入肝脏,在烟台山医院东院胃肠外科,李先生及时接受了微创手术治疗,得以化险为夷。

图中所示为李先生吞入腹中的鱼刺。
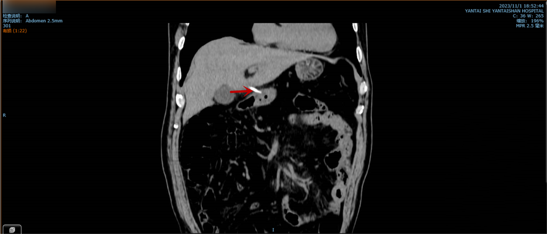
刚吞入鱼刺时,李先生并无异样感受,此后出现了剧烈腹痛并高烧,他便到当地医院就诊,CT检查提示:胃窦及十二指肠处条状高密度致密灶并突向腔外与肝脏相贴紧密,两端与胃壁及肝脏分界不清,提示异物并穿孔可能。当地医院建议李先生接受常规手术治疗,他不能接受开刀手术带来的瘢痕,便婉拒了医生的建议。后经多方打听,得知烟台山医院东院胃肠外科可行微创手术治疗,随即连夜赶往,王永副主任医师接诊后结合患者病情、辅助检查及患者诉求,制定了“双镜”联合的手术方案——先行胃镜检查,如能取出异物最好,如不能取出异物也能明确胃内损伤情况以及损伤部位,为后续治疗提供有力支持;不能直接取出时,则行腹腔镜探查术。该手术方案为微创术式,能最大程度上减小手术切口带来的瘢痕、降低手术创伤、减轻患者疼痛,李先生听后,欣然同意此方案。
完善术前准备后,王永团队医生急行胃镜检查,仔细探查全胃,未发现鱼刺及其他异物,但见胃窦水肿以前壁为著,结合术前CT检查,考虑异物可能已从胃窦前壁穿出,再次探查全胃一圈未见其他异常后决定行腹腔镜探查术。术中,医生在李先生的胃窦前壁发现了一根长约5厘米的鱼刺,它已穿透胃窦,刺入肝脏,此后在腹腔镜直视下完整地取出鱼刺并缝合胃窦穿孔。后经治疗,李先生很快康复出院。

通过腹腔镜取出的鱼刺。(图片已模糊处理)
小鱼刺也能带来大麻烦,烟台山医院东院胃肠外科专家在此提醒大家:进食鱼类等有刺及有壳水产品时,一定要细嚼慢咽,以防吞入异物。
近年来,烟台山医院东院胃肠外科在宫红彦主任的带领下,发展迅速,其胃癌、结直肠癌、腹膜后肿瘤诊治技术达国内先进水平。微创手术取得了较大进步,腹腔镜技术、经自然腔道取标本手术(NOSES)技术、“双镜”联合技术日新月异,在保证手术安全和疗效的前提下,融入加速康复外科理念,为患者提供更加无痛、美观、微创的手术方式。