
前段时间,烟台市民王先生在酒后洗澡时摔了一跤。第二天早上,其家人发现他迟迟不醒,便觉得事情不对,随即把王先生送到了医院,等到医院时,王先生的右侧瞳孔已经散大,相关检查提示急性硬膜外血肿、创伤性脑疝。
在最短的时间内,王先生被转运到了烟台山医院北院区。医院开通“绿色通道”,简化相关手续,医护人员快速行动,各科室有效衔接,确保各项检查快检快出。不到1个小时之后,术前准备工作全部完成,王先生被送到了手术室。
紧接着,北院神经外科夏广文主任团队对其实施颅内血肿清除+去骨瓣减压术,术中快速开颅,仔细清除血肿,最大程度上保护脑组织。术后,王先生进入重症监护病房接受治疗。一段时间后,王先生的生命体征平稳,转入神经外科普通病房继续接受治疗。

北院神经外科医生正在为患者实施开颅清除血肿手术。
进入普通病房后,于娟护士长带领科室护理人员,结合王先生的实际身体和心理状况对他进行个性化护理并指导康复训练,缓解不良情绪,王先生顺利康复出院。

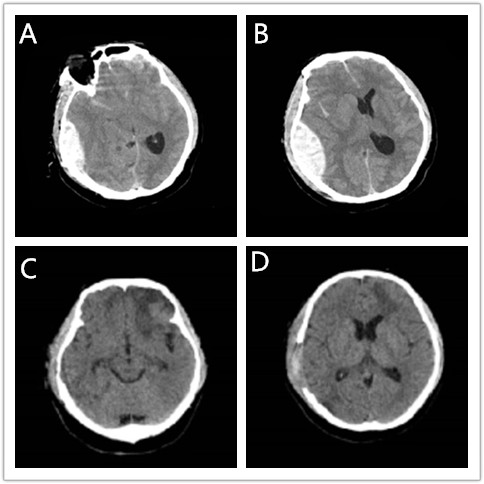
图A、B为术前颅脑CT:右侧颞部急性硬脑膜外血肿,侧脑室受压,中线结构移位。
图C、D为术后颅脑CT:硬膜外血肿清除完全,脑室受压解除,中线结构回归。
创伤性脑疝是一种极其凶险的急病,每一分时间的耽搁都会加重死亡的风险,急诊手术是唯一的救治手段。创伤性脑疝具有起病急、病情严重、发展迅速、病死率居高不下等特点。手术时间与患者生存情况之间存在线性关系,若不及时解除脑疝对脑组织的压迫,会造成严重后果,甚至危及患者生命。
严重的中枢神经系统损伤以及脑疝患者往往病情严重,随时危及生命,救治需要争分夺秒,与时间赛跑。烟台山医院北院神经外科在救治颅脑创伤方面经验丰富、技术熟练,各科室间密切协作,可有效保障人民群众的身体健康和生命安全。