
患者年龄小,出血量大,血压控制困难……日前,烟台山医院北院神经外科成功救治一位高血压导致出血的青年患者。

该患者因“右侧肢体活动不利6小时”入院,颅脑CT检查显示:左侧顶枕叶可见片状高密度影,量约35ml,局部可见低密度水肿带。她入院时,血压高达213/100mmHg,其家人告诉医生,该患者既往有高血压病史,平日里喜欢吃麻辣烫等高盐食品。
完善相关检查后,北院神经外科夏广文主任为患者实施方体定向微创颅内血肿穿刺引流术。颅脑顶叶与肢体的运动紧密相关,轻微的损伤即可导致肢体瘫痪加重,由于术前定位精确,术中未造成二次损伤,血肿清除效果理想。鉴于患者术前血压极高且控制不理想,术后多次为患者调整降压方案,最终患者得以康复出院,出院时未遗留肢体运动障碍,血压控制良好。

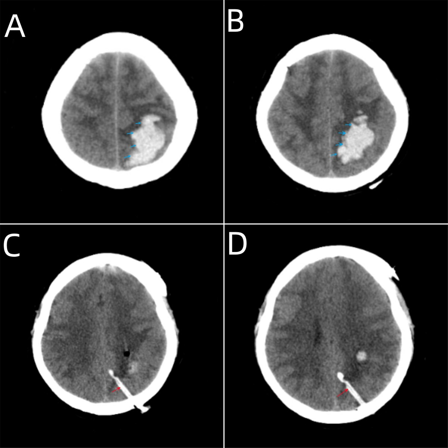
图A、B为术前颅脑CT,可见顶枕叶脑出血,蓝色箭头所示为出血部位。
图C、D为术后复查颅脑CT,可见颅内血肿清除效果良好,无二次出血,红色箭头所指为引流管所在位置。
高血压脑出血常见的手术方式有开颅血肿清除、神经内镜辅助下血肿清除以及微创脑内血肿清除术。前两种方式的优点在于可以在直视下清除血肿,缺点是创伤大、花费高。而脑微创清除血肿术则具有创伤小、花费低、康复快等优点,烟台山医院神经外科开展此项技术已有十余年,具有丰富的临床经验。
夏广文指出,近年来,越来越多的年轻人遭遇高血压脑出血,医院接诊的年龄最小的患者仅31岁。高血压脑出血具有较高的盐敏感性,在我国的一般人群中,盐敏感为15%-42%,高血压人群中盐敏感者可达50%-60%,有高血压家族史的高血压患者盐敏感可达65%。最新研究指出,我国高血压患者平均盐摄入量9.3g/d, 随着钠盐摄入的增加,血压和身体质量指数明显增高,而麻辣烫等食物中含有较多的盐分,许多青年人喜欢进食此类食品,因此要限制食用,以免造成难以挽回的后果。