
近日,烟台山医院东院神经外科为一位危重型小脑出血并破入脑室的患者完成了急诊微创脑内血肿穿刺手术,创伤小、风险低、效果好,帮其脱离生命危险,恢复健康。

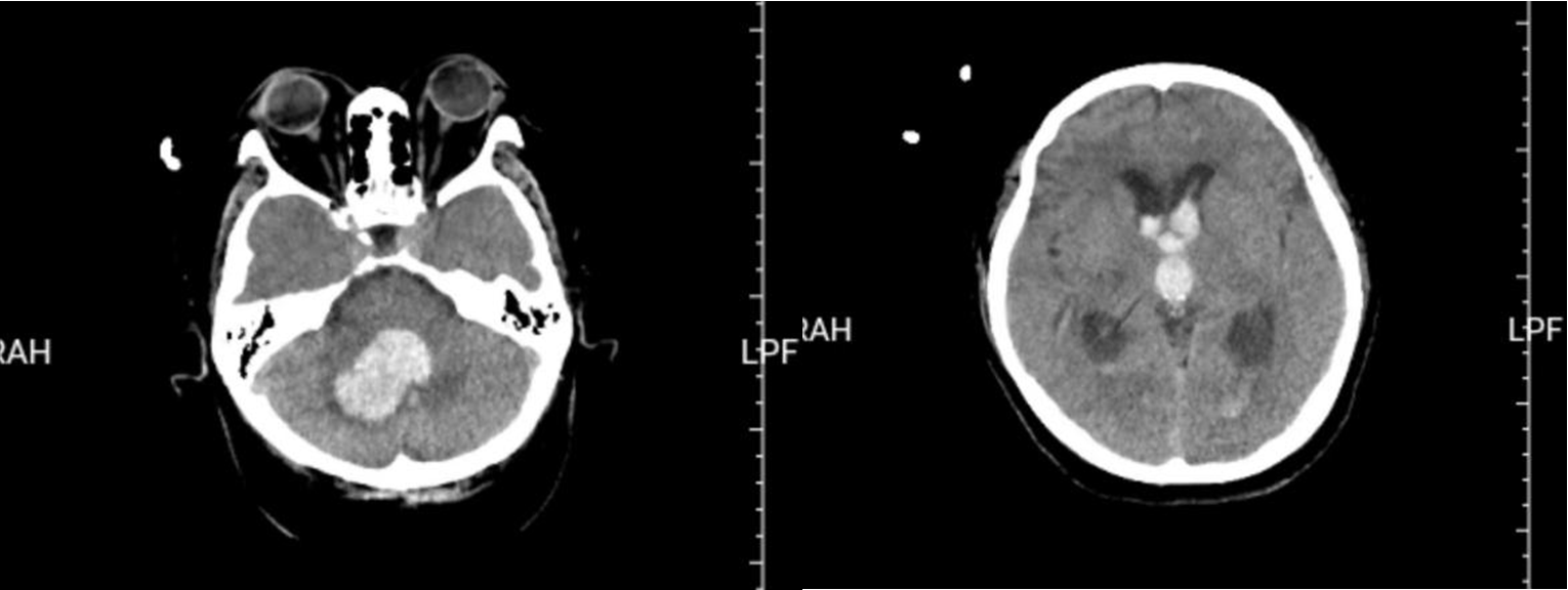
图中所示为患者入院时颅脑CT。
当日,这位患者突然出现肢体活动不灵的情况,并伴有意识障碍、呕吐,随后他被紧急送往烟台山医院东院区。到达急诊科时,他已昏迷,呼吸微弱,接诊医师迅速判断病情,并给予气管插管,但患者身材矮胖,颈部粗短,医师多次尝试气管插管,均未成功。急诊重症监护病房潘继明主任医师当即决定给予患者喉罩置入,并完善颅脑CT等相关检查。CT检查提示:右侧小脑出血并破入脑室,脑室铸型,急性梗阻性脑积水。患者病情危重,进展迅速,逐渐出现血压下降、心率不稳等危急表现,并随时可能出现呼吸心跳骤停。
患者收治到急诊重症监护病房后,东院神经外科刘建辉主任医师、胡佳主任医师、薛昆副主任医师、吕新亭主治医师,急诊重症监护病房潘继明主任医师对患者的病情进行了全面评估,认为患者颅后窝出血量大,压迫脑干,已出现意识障碍,昏迷,血压、心率不稳等表现,随时都有心跳停止的可能,手术指征明确,但患者生命体征不稳,手术风险极大,无法耐受开颅手术。经过综合考虑,决定为患者实施微创脑内血肿穿刺引流术,征得患者家属同意后,立即开通“绿色通道”,快速完成术前准备,紧急将患者送至手术室。麻醉科尚书军主任医师评估病情后为其进行了全身麻醉并更换喉罩为气管插管。手术医师首先在患者右侧额部发迹内头皮切开约3mm的切口,快速进行侧脑室穿刺手术,释放血性脑脊液,解除了患者脑积水病情,为后续小脑出血手术争取时间,然后调整体位,根据术前影像检查进行血肿穿刺规划,沿穿刺点精准置入引流管1根,术中抽出血肿15ml,手术快速顺利完成。术后在急诊重症监护病房及神经外科医护人员的精心呵护下,患者逐渐恢复意识,术后3周完全恢复正常,顺利出院。

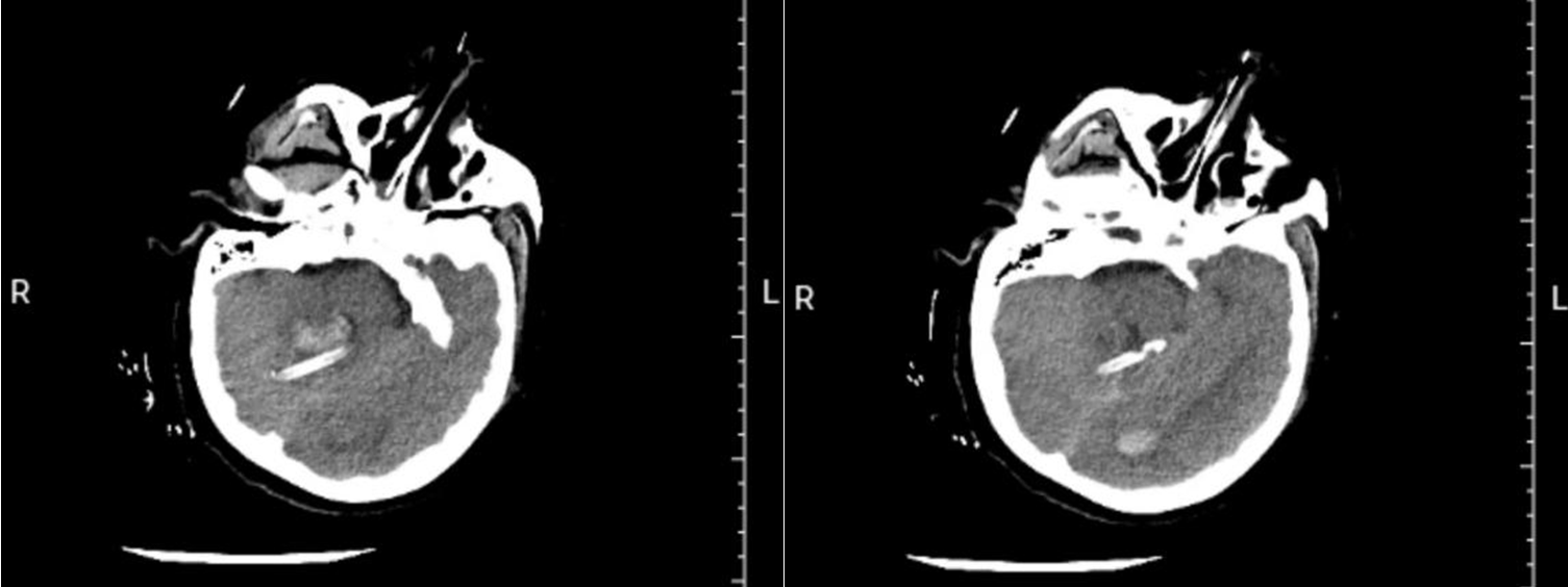
上图所示为患者术后当日复查颅脑CT。

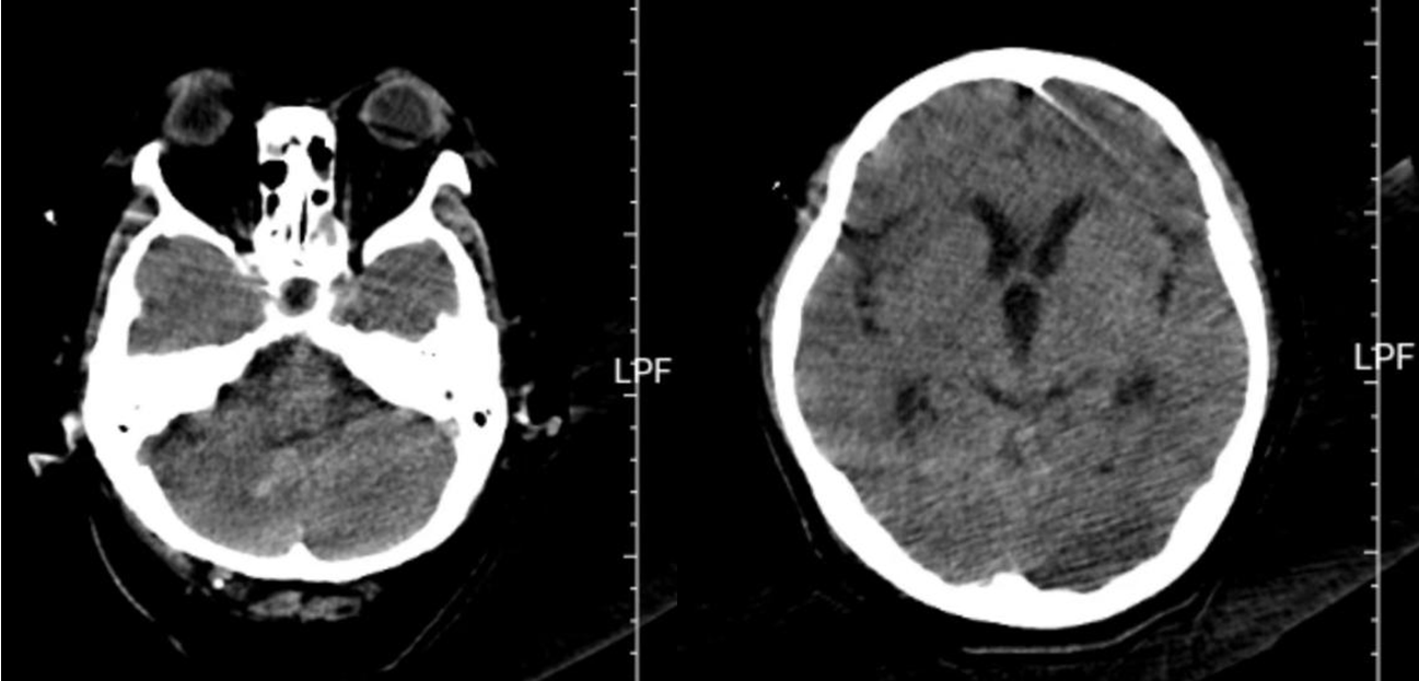
上图所示为患者出院前复查颅脑CT。
脑出血是影响人类健康的严重疾病之一,致残致死率很高,严重影响患者的生活质量,对家庭和社会带来巨大负担,每年秋冬或冬春季节气温变化的时候为发病高峰期。少量出血可保守治疗,血肿量大时往往需要手术治疗。小脑位置特殊,靠近脑干,小脑出血后易压迫脑干,影响呼吸和心跳,病情凶险、死亡率高,出血超过10ml即需急诊手术。
传统开颅手术创伤大、治疗费用较高,如何最大程度上减少创伤,最大可能地清除病变,减轻患者的经济负担,恢复患者生理功能是所有神经外科医生所追求的。小脑出血穿刺置管引流,可精确定位血肿靶点,软管置入,创伤小、风险低,快速清除血肿,具有精准、微创等优点,达到微创治疗的目的,避免传统开颅手术带来的巨大创伤,并且可以缩短患者的住院时间、降低医疗费用。