
近日,就诊于烟台山医院的患者黄先生将一面写着“3D打印大显神威,纠偏增高重站立”的锦旗送到医院,对常黎明副院长及廖光军主任团队表示感谢,同时对3D打印中心的专业技术能力给予了高度评价。
黄先生今年29岁,13岁时,他被诊断为“左股骨滑膜肉瘤”,行手术治疗。后因生长发育、身体长高,20岁又因“左股骨肿瘤术后骨不连”,再次行翻修、肿瘤膝假体置换,术后恢复良好。近年,患者开始出现左腿跛行,自觉逐渐加重,约半年前出现左大腿疼痛,给黄先生带来很大的生活困扰。今年5月,患者就诊于烟台山医院骨病与骨肿瘤科,行检查提示假体近端周围骨溶解并假体松动移位,廖光军主任看过患者后建议患者行肿瘤型关节假体返修术。之后,患者按期住院并完善相关术前检查。
以往肿瘤型假体返修手术创伤比较大,恢复也较慢,因需要将整个假体取出,重新置换新的假体。但是,常黎明副院长及廖光军主任的手术团队,经过反复讨论,针对患者的病情特点,巧妙地结合3D打印技术,给患者提供了一种创伤较小,且能完全解决病痛的方案,同患者及家属交代后,患者及家属非常满意,如期行手术治疗。

手术前影像资料
常黎明副院长详细介绍了3D假体的设计及手术方案。该设计是在原有假体的基础上,以最小的创伤,通过术前CT采集数据后,重建,建模后,精准地设计出与原假体及残留骨质完美结合的假体部件,再通过设计支持钢板,增加了该假体部件的稳定性,进一步防止假体松动,保证假体的长远使用效果和安全性,做到了肿瘤假体翻修的“微创、精准、个性化、保证牢固性”等特点。

3D 打印假体设计
术后效果达到预期,患者很快便可以自理,恢复了肢体长度,且疼痛消失。黄先生出院后送来锦旗,感谢常黎明副院长及廖光军主任的手术团队,给他来了新的希望和更高质量的生活。

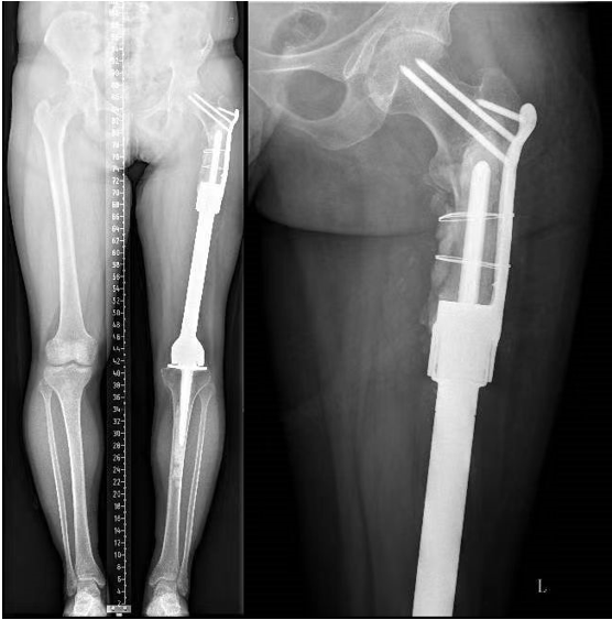
术后影像资料

烟台山医院骨病与骨肿瘤科,是胶东半岛骨肿瘤与软组织肿瘤专业诊疗中心。经过多年发展,目前可常规开展规范的骨病变治疗,尤其是疑难骨与软组织肿瘤的诊断治疗,四肢恶性骨肿瘤保肢手术加新辅助化疗,巨大骨盆肿瘤的切除及下肢功能重建,脊柱恶性肿瘤的诊断及微创椎体成形术,肿瘤性人工膝、髋、肩关节置换治疗肢体恶性骨肿瘤,儿童恶性骨肿瘤保肢治疗,骨肿瘤瘤段切除灭活再植或大段异体骨移植,特别是各种晚期骨转移癌患者的姑息手术,大大提高了患者的生活质量,保证了晚期肿瘤患者的尊严,取得了良好效果。近年来,科室开展3D打印技术,为骨肿瘤切除后的重建提供了更精准、更个性化的治疗,3D打印技术以其独特的优势,在医疗领域中发挥着越来越重要的作用。作为这一技术的积极探索者和实践者,烟台山医院3D打印中心致力于将最先进的3D打印技术应用于多个医疗领域,无论是定制的假肢、植入物,还是复杂的手术模型,都能为患者提供更加精准、个性化的治疗方案。中心将不断加强创新与积累,提升技术水平和服务质量,为患者带来更好的治疗体验。