
提起老年痴呆,大家并不陌生。很多人认为,它与年龄增长、患有阿尔茨海默病有关,殊不知,老年痴呆还有可能是脑积水引起的。
最近几个月,烟台市民王大爷明显地感受到记忆力减退、理解能力下降,本以为是年龄大了导致的老年痴呆,便没太在意。一个月前,开始出现走路不稳、小便失禁等症状,其家人觉得情况不对,便带他来到了烟台山医院北院神经外科。
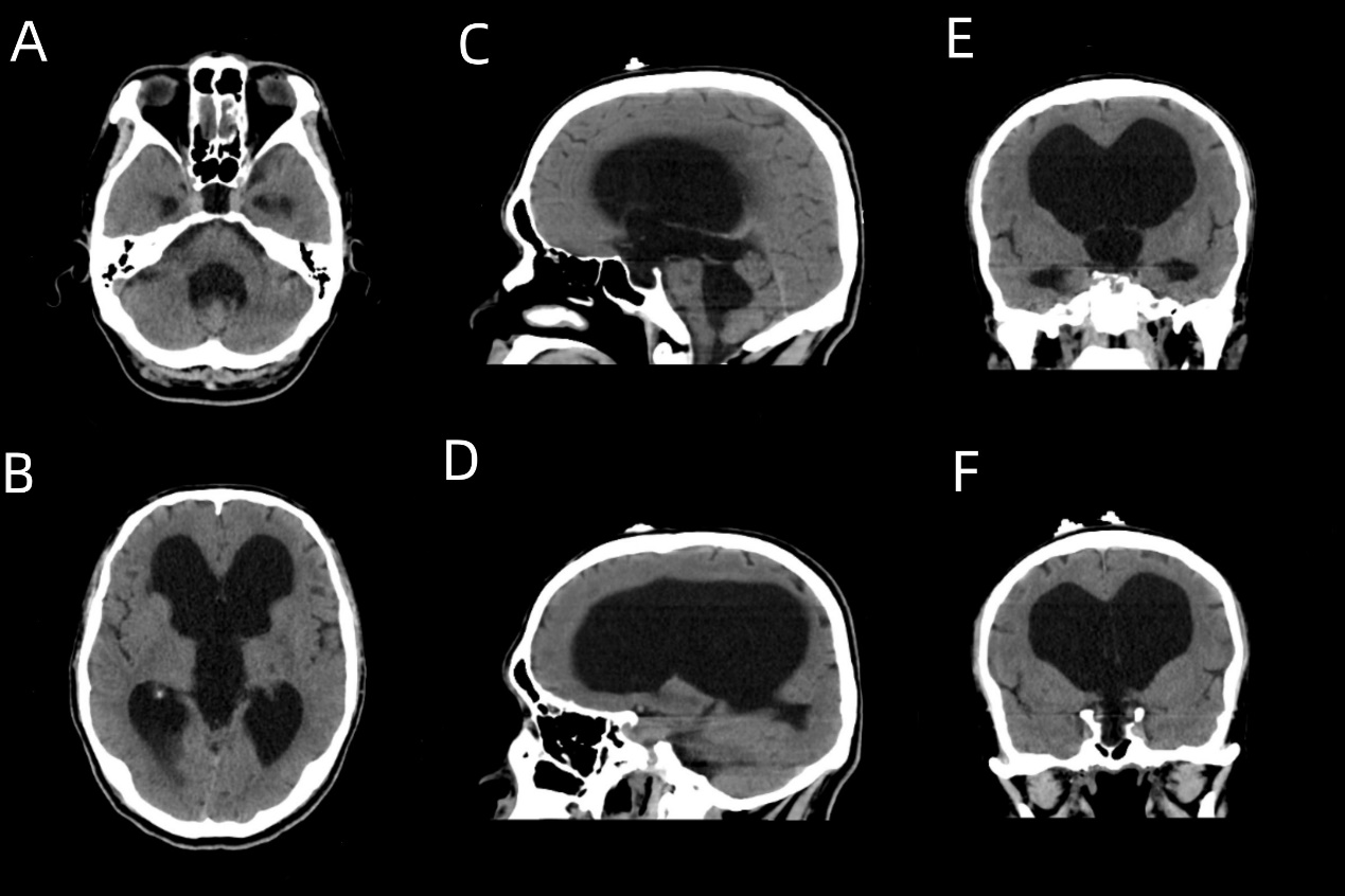
北院神经外科夏广文主任仔细询问病史并结合体格检查后觉得这一切很可能是脑积水引起的,随即为其完善颅脑CT检查。检查可见:第三脑室、第四脑室、中脑导水管及双侧侧脑室明显扩张,双侧侧脑室旁白质密度降低。

此后,王大爷住进了北院神经外科病房。在完善术前准备、排除手术禁忌后,夏广文主任为其实施了脑室腹腔分流术。术后,王大爷的记忆力减退以及小便失禁等情况很快得到缓解。出院时,其家人表示,“幸亏及时来医院治疗,若是再将脑积水当成老年痴呆,不知道会导致怎样的严重后果。往后再有这方面的疾病还是得到医院,在医生指导下接受治疗。”

脑积水是指各种原因引起的脑脊液分泌过多,循环受阻或吸收障碍而导致的脑脊液在颅内过多蓄积。其部分病因是蛛网膜下腔出血和脑膜炎所致,另有部分病因不明确。临床上主要表现为步态不稳、记忆力障碍和尿失禁。在治疗上多以侧脑室腹腔分流术为首选,在腹部病变时可选择脑室右心房分流术,治疗及时,预后大多较好(病程半年内)。其临床表现与阿尔茨海默病十分相似,烟台山医院北院神经内二科于天霞主任表示,阿尔茨海默病是发生于老年及老年前期、以进行性认知功能障碍和行为损害为特征的中枢神经系统退行性病变,随着年龄增长患病率逐渐上升,其危险因素有:高血压病、糖尿病、高脂血症、糖尿病,过度饮酒,肥胖,情绪压抑,受教育程度低,头部外伤等,临床上表现为记忆力减退,言语功能减退,学习新知识和社会接触能力减退,随着病情的进展可出现人格和行为改变等精神症状。在治疗上以预防危险因素,早期药物干预,对延缓病情的进展有着重要意义。
总之,在出现上述类似症状时,应及时到医院就诊,完善相关辅助检查后接受规范治疗,以免延误最佳时机。