
近日,烟台山医院介入/复合手术室配合血管外科为一名主动脉骑跨栓的急诊患者实施了下肢动脉造影并切开取栓术。
主动脉骑跨栓,又名主动脉分叉闭塞综合征,是血管外科不多见的急危重症,在国内原发病以风湿性心脏病合并心房纤颤者居多。大多患者由心脏内较大栓子脱落而使腹主动脉末端分叉处闭塞,使两侧髂总动脉的血液供应阻断,造成双下肢乃至下腹部急性缺血。其临床表现为双下肢动脉搏动消失,皮肤苍白、温度下降及坏疽的一组病征,病情危重,如不及时治疗,会造成包括臀部的整个下半身组织急性缺血缺氧,产生大量“毒素",引起心、肝、肾等多器官的损伤甚至衰竭,最终威胁生命。最有效的解决办法就是以最快的速度取出血栓,开通血管,恢复血供。
当天晚上10点,介入/复合手术室的常规手术仍在紧张有序地进行着。护士长突然接到血管外科急诊电话,一位64岁女性患者无明显诱因出现双下肢麻木、皮温低,同时伴有活动受限等不适症状,休息后不缓解并进行性加重,下肢动脉CT检查示“主动脉、髂动脉血栓形成”,需在介入手术室紧急行下肢动脉造影并切开取栓术。
介入/复合手术室接到通知后迅速进行统筹安排,与仍在等候的常规手术患者及家属沟通,讲明手术的紧急性,并取得理解,将该急诊手术以最快速度安排上台。
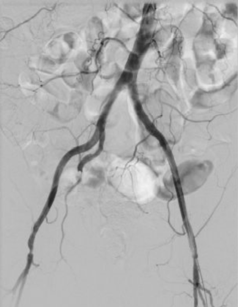
手术选择股动脉穿刺(介入微创)与双侧腹股沟下方做约6cm纵行切口(外科手术)联合的方式。术中造影显示腹主动脉远端、双侧髂总动脉不显影,说明该部位闭塞,无血流通过。医护人员经过紧张的3小时的手术,分别自患者双侧股动脉取出大量新鲜血栓,近端喷血良好。造影见腹主动脉、双侧髂动脉、股总动脉通畅,远端无充盈缺损。手术在凌晨1点顺利完成。
患者术后转入ICU,经过多学科协作,一周后康复出院。

术前造影腹主动脉远端、双侧髂总动脉未见显影

术后造影腹主动脉、双侧髂动脉、股总动脉通畅
介入/复合手术室又被称为一站式手术室,是指将两个手术室的工作集合到了一个房间,在神经、心脏、血管等领域有着广泛的应用。通常采用介入技术联合外科技术手段来治疗比较复杂的疾病,患者不用在介入手术室和外科手术室之间来回转移,避免在转运患者过程中出现意外,降低手术风险,使得复杂的手术简单化。于患者而言安全性更高,治疗费用相对于传统手术方案有所减少,也大大缩短了手术时间。
烟台山医院介入/复合手术室自东院区全面启用至今,配合血管外科多次完成主动脉“骑跨栓”、急性胸腹主动脉瘤(夹层)破裂腔内隔绝术等复合手术,一站式解决患者病痛,让手术“化繁为简”,达到1+1>2的效果,为患者的生命安全保驾护航!