
日前,烟台山医院运动医学科为一位患有巨大不可修复肩袖撕裂的患者实施了全院首例反式肩关节置换术,切实有效地缓解了患者的病痛,改善了肩部活动功能。

肩袖是肩关节重要的稳定结构,巨大肩袖撕裂使得肱骨头的力偶平衡丧失,在三角肌作用下,肱骨头向上移位,加剧肩关节软骨磨损退变,最终导致严重的关节炎,疼痛难耐,甚至引发“假性瘫痪”。该病以老年患者居多,肩部的剧烈疼痛以及功能障碍给他们带来诸多不便。
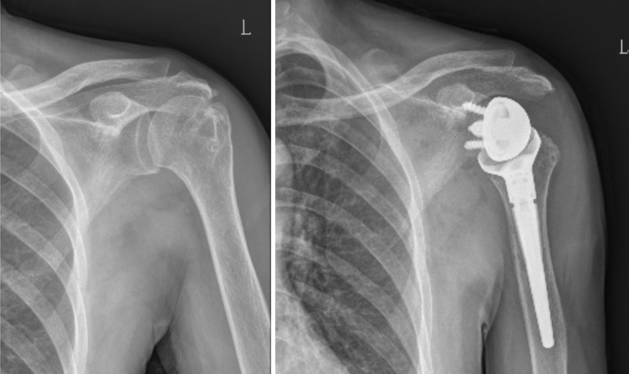
该患者为老年女性,因肩袖撕裂而导致肩部疼痛逐渐加重。近日,她慕名来烟台山医院运动医学科,运动医学科成功主任经过细致查体并结合病史和影像学检查,诊断患者所患为巨大不可修复肩袖撕裂。针对此类肩关节疾病,传统的肩关节置换术并不能改善因肩袖巨大撕裂导致的肩关节功能障碍。经与患者沟通,考虑到患者要求缓解疼痛和改善功能的需求,最终决定实施反式肩关节置换术为其治疗。

据悉,针对巨大肩袖撕裂,以往可选用的方法包括肩峰下球囊植入术、肩袖部分修复术、上关节囊重建术以及背阔肌转位术等,它们的优缺点各不相同,但远期效果皆不确切。反式肩关节置换术被认为是过去40多年,肩关节重建手术中最具影响力的技术革新之一。目前已广泛应用于治疗肩关节巨大肩袖撕裂,尤其是已经成为解决不可修复性巨大肩袖撕裂的终极方案。但由于该手术技术难度高,学习曲线长,目前省内能够开展此项手术的医院为数不多。
成功主任表示,“反式人工全肩关节置换术(RTSA)是一种创新的手术技术,其通过翻转传统肩关节的解剖结构关系,解决了长期困扰患者的肩关节稳定性和功能问题。这一手术利用三角肌功能来替代肩袖的功能,设计上通过旋转中心内移及下移肱骨假体增大三角肌张力,在几乎不借助肩袖肌肉的情况下,更好地发挥三角肌功能,恢复肩关节正常活动范围和力量,能极大改善患者肩关节疼痛及功能障碍。”
烟台山医院运动医学科成立于1999年,2013年独立成科,是全省设立最早的运动医学专业科室之一,同时也是山东省医学会运动医疗分会副主任委员单位,烟台市骨科学专业委员会关节镜学组主任委员单位。科室在省内乃至全国率先开展舒适化髋关节镜治疗股骨髋臼撞击综合症,弹响髋微创治疗;膝关节多发韧带损伤系统化治疗,DLHCG修复膝关节软骨损伤,髌骨脱位三联手术,截骨保膝术;全镜下踝韧带修复/重建术,镜下踝关节融合术;肩关节镜下巨大肩袖撕裂/Bankart损伤修复术,斜方肌转位动力重建术,反式肩关节置换术;关节镜下网球肘精准治疗,以及重度肘关节僵硬的全方位松解等一系列新技术、新方法,手术数量以及手术质量均处于省内领先、国内先进水平。