
近日,烟台山医院东院妇科接诊了一例“异位妊娠”的患者。赵女士月经推迟了1个月,自测尿妊娠试验阳性(+),偶尔会有轻微下腹痛,但她以为只是正常怀孕反应,并未在意,本打算过段时间再去医院检查,但没想到突然有一天,赵女士在活动后感觉下腹疼痛明显,伴有肛门坠胀感、头晕、乏力、心慌,于是她赶紧来到烟台山医院就诊。
经彩超检查,在子宫后方发现“大小约3.5*3.5*3.0cm囊性回声,可见胚芽,长约3.3cm,盆腔积血”。医生初步考虑赵女士是“异位妊娠”,遂对其进行急诊手术探查。术中见左侧输卵管伞端有一直径约5cm紫蓝色包块,表面破裂,剖视标本见胚胎已成形,直径约4cm。因患者就诊不及时,孕周较大,已形成胚胎,异位妊娠包块破裂致盆腹腔内大出血,患者重度贫血,术后给予输血、补液对症支持治疗,最终患者顺利终止妊娠,病情平稳,现已出院。
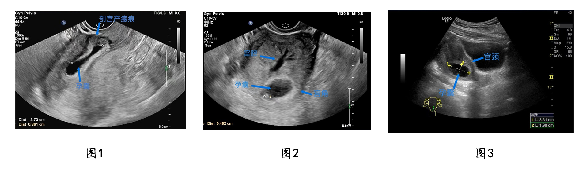
最近一个多月,东院妇科连续接诊了几例异位妊娠的高危患者,包括剖宫产瘢痕妊娠(见图1);妊娠囊着床于子宫角的“宫角妊娠”(见图2);妊娠囊着床于宫颈管的“宫颈妊娠”(见图3)等。

这些特殊类型的妊娠可能会造成子宫破裂、盆腹腔内大出血、失血性休克,严重时危及患者生命。幸运的是,在医院超声医学科、介入医学科、手术室、麻醉科、急诊科等相关科室的大力支持下,东院妇科医护人员共同努力,快速确诊并采取个体化治疗,使这些特殊妊娠的患者均得到了及时救治,转危为安。
东院妇科专家提醒广大女性朋友:1.如无妊娠计划,应做好避孕措施,防止意外妊娠;2.如已自行确认妊娠,应尽早至医院就诊,遵从医嘱,明确妊娠囊着床部位,排除异位妊娠可能;3.若有停经伴阴道流血、腹痛等异常情况,立即至医院就诊,确保妊娠安全。