
心房颤动极易形成左心房血栓,它就好比体内的一颗微型炸弹,一旦脱落就有可能随着血液循环达到颅内动脉系统,进而引起极其严重的后果——大面积脑梗死,而且该病的病死率极高。近日,烟台山医院北院神经外科再次成功救治一位大面积脑梗死的患者。
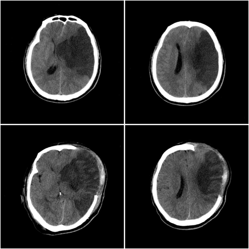
该患者因“突发意识不清伴右侧肢体活动不灵7小时”收治于烟台山医院北院神经内一科。入院后颅脑磁共振检查提示大面积脑梗死(图1),北院神经内一科王英主任医师带领团队给予患者抗栓、降脂、改善侧支循环治疗。该病病情变化快,入院第二天在发现患者意识状态改变后,立即为患者复查颅脑CT,提示脑梗死较以前加重,中线结构位移明显(图2),患者被转到北院神经外科继续接受治疗,医生为其做了颅骨去骨瓣减压术+颞肌贴敷术。术后颅脑CT提示,中线结构移位较术前好转,脑室受压较以前减轻(图2)。
图1:术前颅脑MRI可见左侧颞叶大面积梗死灶,左侧大脑中动脉闭塞。
图2:次日复查颅脑CT提示脑水肿较前明显,左侧侧脑室受压,中线结构右侧移位。术后复查颅脑CT示中线结构移位较前好转,无出血等并发症。
心房颤动是指规则有序的心房电活动丧失,代之以快速无序的颤动波,极容易引起左心房的血栓。血栓随着血液循环可行至颅内,从而导致颅内动脉系统的栓塞,引起严重后果。大脑中动脉平均直径4mm,虽然比较纤细(图3),但血液供应的脑部区域广泛(图3),微小的栓子即可引起主干的栓塞。
图3:红色区域为颞叶部分,蓝色箭头所指示为大脑中动脉。
北院神经外科夏广文副主任医师指出:缺血性脑卒中(脑梗死)是最常见的脑卒中类型,约占所有脑卒中的80%,其中具有占位效应的大面积脑梗死预后最差,占大脑半球脑梗死的2%-8%以及小脑梗死的4%-25%。即使经过积极的内科治疗,其病死率仍可高达60%-80%,约2/3的生存患者遗留严重残疾,严重威胁着生命健康。早期去骨瓣减压术可通过缓解脑水肿的占位效应,改善半暗带灌注,从而将大脑半球大面积脑梗死患者的病死率从78%降至29%,且神经功能预后良好概率提高1倍以上。但大面积脑梗死病人进行内科治疗时多数已予抗栓治疗,这类药物极易引起术中大出血的发生,手术风险极高。
北院神经外科夏广文及北院神经内一科王英两位专家一致认为,治疗此类疾病的关键点在于对时间窗的把握,对于6小时之内的病人急诊行取栓术后可取得较好的预后。当发生大面积脑梗死时,要对患者的病情适时评估,及时手术可挽救患者生命。