
爱美之心人皆有之,不少女性朋友在选择腹部手术时也会对术后留疤的问题产生担忧。近日,一名16岁女孩因盆腹腔巨大肿块来到烟台山医院北院妇科。治疗这种巨大肿块,最安全的方法就是进行开腹手术,但如此花季少女,如果腹部留下一条长长的疤痕,难免让人惋惜。为此,妇科张永欣主任医师团队思虑再三,决定为患者做一台更适宜患者的手术——经脐单孔腹腔镜手术。


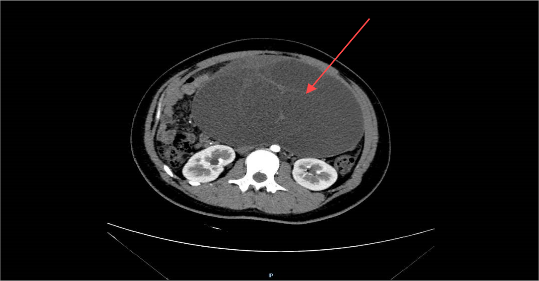
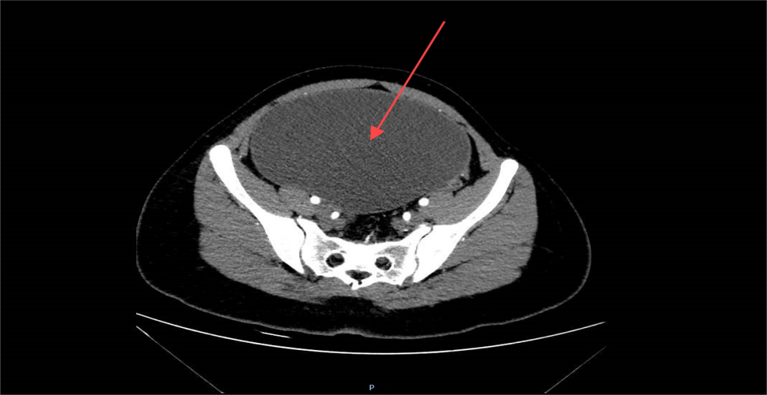
盆腹腔肿物的CT影像
经脐单孔腹腔镜手术是经肚脐切口置入单孔装置,手术器械及设备经脐孔进入腹腔,利用腹腔镜技术将卵巢囊肿拖拽至切口剥离和缝合。脐部是人体唯一一个天然的疤痕结构,手术切口隐藏在天然的脐孔结构中,难以辨认。患者术后5天顺利出院,腹部几乎看不见切口。

手术切口隐藏于脐孔
相较于传统的三孔、四孔腹腔镜手术,单孔腹腔镜手术创伤更小,术后恢复更快,疼痛也更轻,不仅缩短了住院时间,还可以将伤口“隐形”,为有美观需求的患者带来了福音。
目前烟台山医院妇科已经广泛开展经脐单孔腹腔镜手术,适应症包括:子宫肌瘤、卵巢良性肿瘤、输卵管妊娠、输卵管积水、输卵管性不孕、子宫内膜异位症等各种妇科常见疾病。
单孔腹腔镜对于医疗团队的手术技巧和空间感要求更高,医院妇科团队未来将在单孔腹腔镜领域中不断为妇科病患提供更先进、更优质的医疗技术服务。