
近日,104岁高龄的刘奶奶在家不慎摔倒后引发胸椎压缩性骨折。若要治疗,风险极高,或因方法不当而引发一系列并发症,严重时足以危及生命。

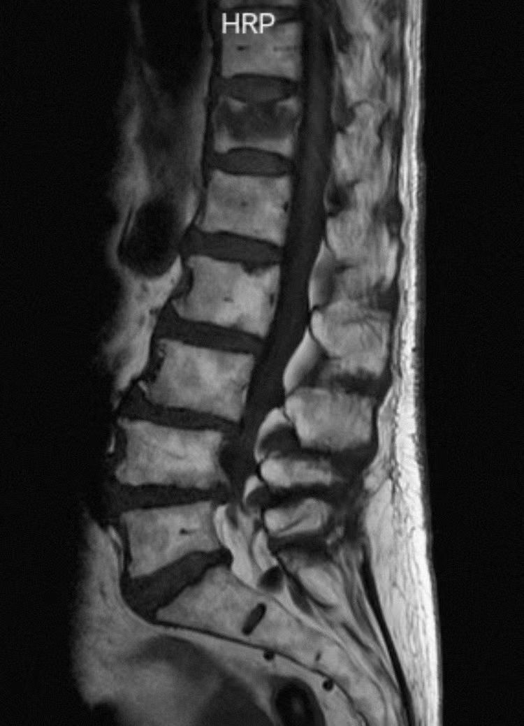
核磁共振T1像显示胸12压缩骨折。
为寻求安全、有效的治疗,刘奶奶在家人的陪同下慕名来到了烟台山医院东院脊柱外二科。王磊升主任团队进行了详细的术前评估:若选择保守治疗,恢复缓慢,她还需要绝对卧床两个月,很容易出现并发症,如压力性损伤、坠积性肺炎、下肢深静脉血栓以及泌尿系统感染,且保守治疗存在着远期骨折不愈合或后凸畸形等弊端;若接受手术治疗,可选择俗称“骨水泥灌注”的经皮椎骨成形术,将骨组织或“骨水泥”等生物材料经皮肤、椎弓根植入椎体,从力学角度增强其结构强度,该方法具有微创、并发症少,患者可早期下床活动等优点。

后经综合评估,刘奶奶选择了微创介入疗法——经皮椎骨成形术。术后,疼痛明显缓解,放射线检查提示骨折椎体骨水泥填充弥散良好。第二天,她在家人的搀扶以及腰围的保护下就能下地行走。

放射线检查提示骨折椎体骨水泥填充弥散良好。
随着社会老龄化的加速,老年人口越来越多。2022年国家统计年鉴显示,截至到2021年底,我国60岁以上的人口已超过2.64亿,约占总人口18.7%。国家卫健委在2018年10月公布的首个中国骨质疏松流行病学调查结果显示,骨质疏松症已成为我国中老年人群的重要健康问题。而骨质疏松症最严重的后果就是脆性骨折,即骨质疏松性骨折。近年来,烟台山医院脊柱外科平均每年完成1000例这种骨质疏松椎体骨折的“骨水泥”灌注微创手术,而且呈逐年增加趋势。东院脊柱外二科专家在此提醒大家:老年人要定期监测骨密度,采取有效措施延缓骨质疏松,从根本上增强骨质,预防骨折。一旦摔倒后发生腰背疼痛等情况,应及时到有救治能力的脊柱外科就诊,以免延误治疗。
烟台山医院脊柱外科成立于1999年,医院是胶东地区较早成立脊柱外科专科的医院之一。2020年8月24日,东院脊柱外二科正式成立,科室除了常规开展退变性脊柱疾病、骨质疏松相关疾病、先天性脊柱病变、脊柱创伤等疾病的规范化诊疗之外,重点发展脊柱微创及脊柱矫形技术,以精湛的医疗技术为广大患者服务。