
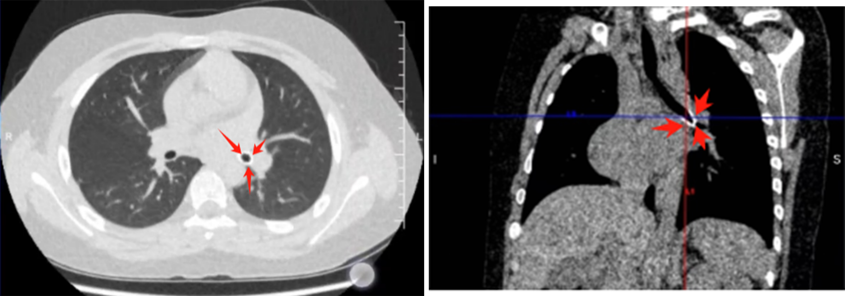
10月14日,家住威海的九岁小朋友涵涵(化名)课间无聊,将中性笔的笔头旋转下来,含在口中玩耍,结果不慎将其误吸入气道,当地医院做的双肺CT检查显示孩子的左肺主支气管远端见异物阻塞气道,于是紧急联系烟台山医院东院儿科主任李海燕。
李主任仔细阅读涵涵的双肺CT及相关辅助检查后,告知家属立即给孩子禁饮食,携带相关检查资料尽快转院,与此同时,她通知东院儿科刘甜甜护士长协调安排病房,通知儿童支气管镜团队医护人员及时就位,一场“战斗”拉开序幕。

结合涵涵的影像学表现,经过术前讨论,李主任团队为其制定了详细的气道异物取出方法以及各种应急替代方案,一切准备就绪。术中,在医护的默契配合下,这枚嵌顿在涵涵左主支气管远端的笔头被顺利取出体外,孩子最终化险为夷。

烟台山医院儿科在新生儿综合管理,儿童呼吸、消化、内分泌等专业方面具有很大优势,尤其是儿童支气管镜技术,包括常规支气管镜检查、重症肺炎肺泡灌洗、支气管内异物取出、支气管镜下刷检、支气管镜下粘膜活检、气道发育畸形诊治等方面有较强的技术实力。
为避免气管吸入异物情况发生,医生在此提醒各位家长:
1.平时应教育孩子不要养成口内含物的习惯,不要随意把硬币、纽扣、小玩具等物件含在口中。家中这些小型零碎物品必须妥善保管,防止被误吸入气管。
2.培养孩子良好的进食习惯,不含食物说话;进食时不玩耍、打闹;不含食物睡觉。当孩子口中含有食物的时候,不要引逗他们哭笑、说话或惊吓,以防将食物吸入气管。
3.不要给5岁以下儿童喂豆类、硬糖、坚硬的小颗粒物及花生、瓜子、松仁等食物。不要给婴幼儿吃果冻。婴幼儿因喉头的保护性咳嗽反射未能健全,一旦吸食进去,极易造成软滑的果冻吸入气管。
4.儿童呕吐时,应将其头偏向一侧,使其容易吐出,避免将呕吐物吸入气管。
儿童气管异物科普
一、什么是气管异物?
气管或支气管内误吸入异物,统称为气管异物。多发生于5岁以下儿童,其中1—3岁婴幼儿约占80%。常见的异物有花生、瓜子、果冻、坚果、豆类、骨头、玩具配件等,也有笔帽、纽扣、螺丝钉、图钉等少见且危险的异物。孩子好奇心强,缺乏安全意识,遇见新奇事物,喜欢用嘴巴来尝试和探索,如果看护不周很容易发生危险,如:呼吸道阻塞,支气管异物等。
二、家长如何判断孩子气管是否有异物?
在进餐中或呕吐后突然剧烈呛咳的孩子,怀疑异物吸入的情况下,出现以下症状:呛咳、憋气、作呕、呼吸困难、皮肤口唇发紫、失去意识等。
三、气管异物的家庭急救方法。
一岁以下婴幼儿(意识清醒)救治法:
1.先拍背,将婴儿翻转,使其面朝下。让婴儿趴在手臂上,以手掌抓住婴儿脸部,以掌根叩击两肩胛中间5次。
2.将婴儿翻转成面朝上,在做心肺复苏的位置用两指压5次。
一岁以上儿童(意识清醒)救治法:
1.拍背法:让儿童趴在救护者膝盖上,头朝下,托其胸拍其背部4下,使其咯出异物。也可将患儿倒提,拍背。
2.儿童海姆立克急救法(意识清醒者)腹部冲击法:救护者抱住患儿腰部,一手握空心拳,用拳头拇指指侧抵住腹部剑突下位置,另一手紧握空心拳用力快速将拳头向上、向内冲击五次,重复而有节奏进行,以形成冲击气流,把异物冲出。
温馨提示:在家里救治的同时叮嘱他人拨打急救电话以免耽误病情。若异物不能排出应立即送往医院行气管镜检查或气管镜异物钳取术,避免错过最佳抢救时机。